The Fourth Treatment for Medical Refugees
THERMOTHERAPY IN THE NEW CENTURY
Table of Contents
Introduction
- Scientific Fact! Utilization of far infrared waves is the key to great health
- There is a correlation between an increase in the smoking population and cancer deaths
- There have been 3,000 fewer cancer deaths each year
in the US since 2003 - Ten Commandments drafted by the World Cancer Research Fund
- The 12 Commandments published by the Japanese National Cancer Institute to prevent cancer
- Despite the three treatment options that are in development...
- Thermotherapy
- Hot jewelry stone therapy shown promising results
- Patient's happy laughter is the priority
- The true form of malignant cancer
- Mechanisms
- Cancer differentiations
- Cancer stages
- Cancer epidemiology
- The truth about cancer treatment
Chapter 1 — Clinical cases of cancer
- 4cm Breast cancer 15
- 3cm Breast cancer, pleural invasion 18
- Cholangiocarcinoma, Sigmoid colon cancer 23
- Esophageal cancer and tracheal stenosis 25
- Prostate cancer
- Bilateral breast cancer, 10mm and 12mm
- Breast cancer with three tumors, including one tumor of 3cm Diameter
- Neck epithelial cancer, lung metastasis
- Breast cancer, lung metastasis
- In order to prevent cancer recurrence and progression
Chapter 2 — Do not fear cancer!
- Everyone has more than 3,000 cancer cells growing in their bodies
- We will not die of cancer if they do not grow!
- This is how cancer grows
- Cancer is caused by gene replication errors
- It grows by 1 kg within 10 to 15 years
- We will know the treatment plans when we understand the features of the cancer
- The immune system suppresses cancer growth
Chapter 3 — Heat the body with thermotherapy
- Hypothermia is the cause of all diseases
- Cancer patients usually have low body temperature
- Without enzymes, there is no life
- It is good to correct the causes of hypothermia
- A 1 °C increase in body temperature results in a 40% increase in immunity and 43 °C causes cancer cell death
- Hypothermia is related to life
- Only 10 to 20% of normal anti-cancer drug dosages are sufficient
- Body temperature will drop when the sympathetic nervous system takes over your body
- Diseases caused by neurological imbalances
- What is the fourth medicine, thermotherapy?
- Cancer cells are vulnerable to heat
- Hyperthermia can be used along with radiation and chemotherapy
- Some doctors do not know about thermotherapy
- Heat treatment for cancer with a 70 °C-hot mat
- HSP cures diseases
- HSP fixes malfunctioning proteins
- You can increase the level of HSP at home
- Lead cancer cells to apoptosis
- The innovator of thermotherapy has improved end-stage cancer by 70%
- Hot gemstone therapy can increase temperature up to 70 °C
- Two major features are far infrared rays and the negative ion effect
- Hormesis stone therapy increases immunity
- It may even cure muscular atrophy and rheumatism
- We have to use hormesis hot stone therapy
- Integrated visible ray treatment improves immune system function and pain control
Chapter 4 — Clean the intestinal walls with detoxification
- The intestine is the second brain
- A balance between good microbe and bad microbes
- The environment within the intestine should be favorable to good microbes
- Lactobacillus and oligosaccharide stimulate the growth of good microbes
- A healthy diet improves the microbes within the intestine
- Rich enzymes result in an improvement in intestinal microbes
- Lower enzymes result in a weaker immune system
- Detoxify bad microbes with intestinal washing
- The gastrointestinal system shares 60-70% of the immune system
- The gastrointestinal system activates macrophages and manufactures antibodies
- Macrophages and NK cells act as the first line of defense against cancer
- The Helper T cell acts like a commander in the immune system
- Cancer may die off without any treatment
- Toxic materials slowly kill your body
- Detoxify your body with oriental medicines and supplements
- Detoxify heavy metals and food additives
- Mercury is accumulated within large fish such as tuna
- One trillionth of a gram of dioxin affects your body
- Japanese women's breast milk has the highest dioxin contamination in the world
- Chemical materials destroy children's brains
- You need to take control of your own health
- Detoxification improves natural immunity
Chapter 5 — Supplement therapy improves the immune system
- Fight with cancer based on the immune system, apoptosis and angiogenesis
- Basic cancer treatment strategies
- Change to an intestinal environment that is favorable to Bifidus using fructo-oligosaccharide
- Over-consumption of linoleic acid is the cause of metabolic syndrome
- Molecules high in polysaccharide stabilize a cell's glucose chain
- The glucose chain helps to maintain life
- High improvement rate in 100 asthma patients, confirmed by the NIH
- Activate enzymes by consuming physiological minerals
- Easy passage through the blood-brain barrier activates mitochondria right away
- Fucoidan's apoptosis induction method
- High-function supplements weaken the cancer cells
- The Garden Clinic Nakamachi's thermotherapy and immune reinforcement therapy
Chapter 6 — Surprising effects of fasting
- Nakamachi Garden Clinic
- Try out an easy 3-day fasting treatment
- Seven amazing effects of fasting!
- Healthy cells are switched on to live in harsh environments
- Nine hospitals acknowledged the effects of the fasting treatment
- The brain’s central nervous system improves during fasting
- Effects of fasting are proven by the Health Institute
- Explanation - Status of the three standard treatment options
Postscript
Introduction
Introduction
"Scientific Fact: Exposure to far infrared ray is the key to preventing metastatic cancer and strengthening the immunity."
Scientific Fact! Utilization of far infrared waves is the key to great health.
Today, the top three causes of death in Japan are cancer, myocardial infarction and cerebral infarction.
Since both myocardial infarction and cerebral infarction are caused by artherosclerosis, fighting cancer and vascular diseases are national issues. In the case of cancer, more than 330,000 patients die each year.
One out of three deaths is caused by cancer and in the future, one out of two people will suffer from cancer. In 10 years, more than 500,000 people are expected to die from cancer each year.
Even though people may not die from cancer, there is a high risk of becoming a cancer patient. If one of the members of a family becomes a cancer patient, the entire family has to endure a painful period.
Therefore, people must understand what cancer is and devote their efforts to prevent it.
Lifestyle plays a big role in the course of cancer.
For example, a larger intake of vegetable fibers will lower the risk of colon cancer. In addition, a sharp increase in lung cancer in Japan, where the cigarette-smoking population is the largest in the world.
There is a Correlation Between an Increase in the
Smoking Population and Cancer Deaths
The correlation between smoking and various cancers has been proven through hundreds of epidemiologic studies. In addition, its correlation is clearly evident when we specifically look at how lung cancer deaths and cigarette consumption relate to each other. The current decrease in male lung cancer deaths can be explained by the corresponding decrease in male smokers.
A research study comparing cancer deaths between Caucasian and Japanese immigrants living in California found that Japanese people still living in Japan had a 6-times greater risk level of stomach cancer than Caucasians living in California. However, when Japanese people immigrate to California, their risk of stomach cancer is reduced 4 times. In addition, Japanese-Americans have a 3-times lower risk level of contracting stomach cancer.
Even though Japanese people have only one quarter the risk level of getting colon cancer as a Caucasian, the risk increases 3-times when they immigrate to California. In addition, Japanese-Americans have 4-times greater the risk in getting colon cancer. Not only that, but the risk of prostate cancer increases 3 times when a Japanese person immigrates to California. On the other hand, Japanese-Americans have 7times the risk level in getting prostate cancer.
When we look at these results, we can easily determine that environment and eating habits play a significant role in cancer diagnosis. According to the National Cancer Institute the difference in food consumption plays a determining role in cancer risk. Even though we were able to find correlations between cancer and products such as cigarettes, UV rays and alcohol, it is difficult to find correlations with other various types of food. It is evident that a restriction in fat and calories reduces the risk of cancer. It is also clear that people who consume fatty meats and large amounts of calories have a greater chance of having colon cancer.
In other words, the "Westernization of diet" has a strong correlation with breast, prostate and colon cancer.
Tuberculosis and pneumonia were the leading cause of death 50 years ago (Ministry of Health, Labor and Welfare / Population Statistics) Cancer deaths (Ratio of Caucasians living in California)
There have been 3,000 Fewer Cancer Deaths Each Year
in the US Since 2003
The increase in cancer deaths in the US has been halted since the 90's. Since 2003, there have been 3,000 fewer deaths from cancer with in each year. Such improvement has to do with the publication of the McGovern Report (over 5,000-chapters long). It announced that typical American eating habits are responsible for the high cancer rates. It started the smoke-free campaign by saying that cigarettes are as bad for the body as taking drugs. The National Cancer Institute started the designer food plan to change American eating habits to include more vegetables, fruits and seafood.
Since cancer deaths in Japan are still increasing, we also need to make these effort to promote better health.
According to the National Cancer Institute, the most common causes of death from cancer for males in 2005 were lung cancer, stomach cancer, liver cancer, colon carcinoma and colon cancer. For females, they were stomach cancer, lung cancer, colon carcinoma, liver cancer and breast cancer. The number of deaths caused by colon and rectal cancer increased rapidly for males over 50. The death rates from prostate cancer also increased sharply after the age of 60. The increase in death rates from breast cancer for females in their 50s was also significant. In addition, uterine cancer and ovarian cancer were a significant cause of death for females in their 30s and 40s respectively. These results may have to do with smoking for males and hormonal drugs for females. It may also relate to REVOLUTION environmental hormones, such as dioxins.
Ten Commandments drafted by the World Cancer Research Fund
In November 2007, the World Cancer Research Fund and the National Cancer Institute published, "Food, Nutrition, Exercise and the Prevention of Cancer", based from more than 7,000 research studies.
- Obesity goal: 2 1-23 BMI.
- Recommended: Maintain standard weight.
- Exercise recommendations: At least 30 minutes of exercise each day.
- Weight control recommendations: Refrain from eating high-energy foods, sugar-rich beverages, fruit juices and fast food. Water, tea and sugar-free coffee are recommended.
- Vegetable consumption goals: At least 600g of vegetables and fruits. In order to take in at least 25g of vegetable fiber, eat unprocessed wholegrain foods and beans. Recommendation: 400g of vegetables, fruits, wholegrain foods and beans. Refrain from eating processed grain food products.
- Animal food products: Refrain from eating meat (beef, pork, lamb) and processed meats (ham, bacon, smoked meats, salted meats). Chicken and fish are recommended over red meat.
- Goal: Less than 300g of red meat each day.
- Recommendation: Less than 500g of red meat each week. Dairy products are not recommended due to their questionable results.
- Alcohol: 2 glasses/day for males, 1 glass/day for females.
- Cooking goal: Less than 5g of salt per day.
- Recommendation: Refrain from salty and spicy food. Less than 6g of salt per day. Refrain from eating moldy grains and beans.
- Supplement goal: Consume all the nutrition required witho ut any supplements.
- Recommendation: Do not rely on supplements to prevent cancer.
- Breast-feeding: Perform breast-feeding for the first 6 months. This prevents breast cancer in women and obesity in babies.
- Post-cancer treatments: After treatment for cancer, consult professionals about your nutrition, weight and exercise regime.
Smoking is the primary cause of lung, oral and bladder cancers. It is confirmed that smoking cigarettes is the cause of various cancers. In addition, it has been shown that cigarettes and alcohol have a synergistic oncogenic effect.
The 12 Commandments Published by the
Japanese National Cancer Institute to Prevent Cancer
- Balanced nutritional intake (no unbalanced diets).
- Vary eating habits each day (do not eat the same food all the time).
- Restrict fat intake.
- Drink small amounts of alcohol (restrict strong drinks and do not smok when during alcohol).
- Do not smoke (risk of passive smoking as well).
- Intake an adequate amounts of vitamins and vegetable fibers from your diet.
- Less hot and salty food. Wait for hot foods to cool down before eating them.
- Do not eat burnt food.
- Do not eat moldy food (especially beans and corn).
- Do not sunbathe too much.
- Take an adequate amount of exercise (avoid stress).
- Maintain good hygiene.
Compared to the Ten commandments of World Cancer Research Fund, these recommendations lack practicality. The 12 commandments may therefore not be enough to prevent cancer.
Despite the Three Treatment Options that are in Development...
Currently, there are three options to treat cancer: Surgery, radiation and chemotherapy.
Due to the development of the laparoscopy, a patient's burdens are minimized and he or she can be discharged within a shorter time frame.
New developments in radiation technology allow the ability to pinpoint the emission of radiation directly onto the cancer cells. In addition, targeted cell therapy allows customized chemotherapy for various cancer patients.
Since we are able to now analyze the patient's genes to distinguish people who are susceptible to the treatment from those who are not, we no longer have to perform unnecessary operations.
Even though treatment methods are developing rapidly, the numbers of cancer patients are also increasing.
Even though we treat cancer patients in the early stages with the three methods, the recurrence rate is almost 60 to 70%. Not only that, there is an increasing population of cancer refugees, those who are abandoned by the hospitals because there are no more treatment options left.
Even in large hospitals, doctors still say, "We cannot do anything for you anymore", when these three treatment options are no longer effective. They end up prescribing opioid drugs to relieve pain and ask the patients to live out their last days with their families.
Some may even prescribe anti-cancer drugs that do not help the patients at all.
In these cases, the side effects of anti-cancer drugs reduce thepatient's quality of life. They end up dying in pain that may be due to the anti-cancer drugs rather than the disease.
Employing the three treatment options along with alternative medicine
I was not the only one who had questions about these kinds of problems. Are there any cancer treatment options other than the three standard treatment options?
More and more medical institutions are performing immunotherapy as a fourth cancer treatment option. It is a therapy that focuses on improving the function of macrophages and Natural Killer(NK), cells to make them fight the cancer cells. Therapy methods vary significantly from one person to the next; they range from mushroom extracts to marine plant extracts. Many "cancer refugees" are taking various supplement products because they do not know which ones may be beneficial to fighting their disease.
In addition, activated lymphocyte therapy that strengthens lymphocytes in vitro and then involves injecting them back into the body has some promise. However, since a great deal of time and expense are required to cure cancer based solely on these treatments, these options may not be a definite answer for cancer treatments.
There are many cancer patients who treat their cancer at the early stages and manage to cure it completely. However, many of these patients go through recurrences and metastasis. The current levels of medicine cannot treat these kinds of cancer patients.
Treatment options other than the three Western medicine treatment options are known as alternative medicine. Our treatment method utilizes the advantages of these three treatment options and combines them with supplementary treatment methods that strengthen the body's immune system.
It is also known as an integrated medicine that improves the effects of cancer treatments.
If the cancer is in the early stages, surgery and radiation are utilized to treat the cancer. If chemotherapy is effective, we utilize it while minimizing its side effects.
In addition, we apply heat to the body to weaken the cancer cells.
Our treatment method also combines effective supplements that fight the cancer from various angles.
Thermotherapy
My goal in cancer treatment is to have a symbiosis with cancer. We aim to weaken the cancer to prevent it from spreading and to lengthen the patients' lives. If we were to destroy human lives in the course of killing cancer cells, our therapeutic methods would have no purpose.
Currently, there is a treatment option called thermotherapy that focuses on the fact that cancer cells are heat-sensitive. It uses a machine called a thermotron to increase the local temperatures of various parts of the body. In addition, there is a thermotherapy that heats up the entire body's temperature. Hot baths, far infrared ray therapy and drug-induced fever treatments are various methods of thermotherapy.
It has been proven that thermotherapy using a thermotron, along with small doses of anti-cancer drugs is an effective treatment. However, this treatment leaves low-grade burns and localized pain behind. At least 2 treatments per week arerequired and it this covered by insurances when radiation is not used along this not covered by insurance when radiation is not used alongas well.
For many years, we have practiced and researched far infrared ray therapy, light therapy, anion emission devices, low frequency wave therapy, HIFU, microwave therapy, hot stone therapy, steam saunas, carbonated water therapy and many other treatment options.
Hot Jewelry Stone Therapy Shown Promising Results
During the process, we discovered an infrared mat. It combines the thermopower of Amethyst and tourmaline to naturally improve the therapeutic power. In addition, it is inexpensive and can also be used every day. There are no side effects and anyone can improve their autonomic nervous system by 100% and feel the difference starting from the day they use it.
There was a case that cured prostate and breast cancer within 2 to 3 months. A patient who had been given just a few months to live ended up living for more than one year.
If we are able to utilize various weapons to fight late-stage cancer, all we need to do is end the fight with a draw. However, since this fight will last for a long period of time, we might lose if we fail to maintain good eating habits and life styles.
If we can maintain quality of life while improving the immune system, we might have a chance at winning the battle with cancer. We do not always have to be hospitalized and put in bed to fight cancer.
There are people who work at home to fight their cancers.
The Nakamachi Garden Clinic, where laughter never stops
Patient's Happy Laughter is the Priority
In other words, we are utilizing the advantages of modern medicine along with alternative medicines.
Regardless of it being a Western, Eastern or alternative medicine, we aim to employ them all to our advantage to find healthy laughter in our patients.
In this book, we will introduce the fourth treatment option of cancer, thermotherapy. We will also talk about the various approaches that we can take to attack cancer. If you can walk and have a good appetite, there is a chance for a cure and the lengthening of your life.
You do not have to give up just because you were diagnosed with late-stage cancer. It is important for you to believe that you have a natural immunity that can "cure" your own body.
Life is not something that doctors can decide on and make rulings about; if you have a strong motivation to cure your disease and become healthy, your genes will start to cure your disease with your natural immunity.
We wish to expand our integrated treatment method through our hot gemstone therapy. The fight against cancer does not end with the three standard treatment options.
It is valid to say that we have options, I am certain that thermotherapy will be helpful to everyone.
I hope that this book will help cancer patients, their families and doctors who are fighting to cure this disease.
Yoshimuzu Hobuhiro, September 2008The True Form of Malignant Cancer
The Definition of Cancer
Before we delve into the war with cancer, it is important for us to know what it really is. Before we talk about the various strategies with which to fight cancer, let's learn about it. People who are eager to get started are welcome to start reading from Chapter 1.
The word "cancer" refers to the entire spectrum of malignant neoplasms and is also commonly used to describe malignant tumors. The difference between a benign and a malignant tumor has to do with the fact that a benign tumor only grows in size at a specific location whereas a malignant tumor invades into the neighboring tissue to metastasize into other organs and tissues. As a result, malignant tumors tend to threaten the life of their host.
The word "cancer" is commonly interchanged with the term "malignant tumor" however, the word "cancer" refers to tumor growth from the epithelial tissues. Tumor growth from bones and muscles is called a "tumor" Even though the tumor does not originate from the epithelial cells, it is still treated as if it is a malignant tumor.
Benign tumors do not invade or metastasize into other tissue. However, depending on its location, it may not be completely "benign"; if it is growing on the brain stem, it may threaten the life of its host and is therefore not so "benign" after all.
However, with the exception of these types of life-threatening benign tumors, we will not be discussing "benign tumors" within this book.
Normally, cancer is categorized as lung cancer, stomach cancer, breast cancer and colon cancer depending on its primary growth site. We distinguish it from metastasis cancer by using the terms like "metastasis lung cancer", "lung metastasis to stomach cancer" or "lung metastasis of breast cancer".
Although they are not called "cancer," brain cancers such as glioblastoma and glioma as well as hematopoietic diseases such as leukemia, lymphoma and multiple myeloma are part of the malignant tumor group.
We classify cancer based on the histological categories such as adenoma, squamous cell carcinoma and small cell cancer. We also use anatomical classifications such as lung cancer, breast cancer and stomach cancer. For example, cancers growing in the lung are known as lung cancer (adenoma, small cell carcinoma).
These histological differences resul t in different chemotherapy combinations. Although some of the "malignant cancer" diseases are not known as "cancer", such as sarcoma and leukemia, we will use the terms "cancer" and "malignant tumor" interchangeably.
Mechanisms
With the exception of neuronal cells, more than 60 trillion cells in our body are going through duplication and apoptosis on a daily basis. In its normal state, our body is designed to control the growth of cells so that they only grow when the body needs them to grow. If cells die because of the results of aging, new cells will grow to replace old cells.
P53 is a well-known tumor-suppressing gene that prevents cells from overgrowth.
However, if the genes that regulate cell growth and apoptosis were to mutate into a non-functioning gene, certain cells in our body would grow without control and the old cells would not go into apoptosis.
These cells would grow and grow to become what we call a tumor or neoplasm. Some of these neoplasms may be malignant and threaten the life of the host.
There are some genes that were found to play a significant role in the growth of tumors. If the P53 gene mutates, cells do not go through the proper apoptosis and go into an uncontrolled growth cycle.
Normally, the growth of tumors is caused by spontaneous mutations and is not caused by genetic defects, with the exception of some genetic tumor diseases.
In addition, some cancers are caused by viruses and bacterial infections. Cervical cancer is known to be caused by human papilloma virus, types 161 and 18. The Epstein Barr Virus is known to cause Burkitt's Lymphoma, the Human T Lymphocyte Virus causes T Cell Leukemia and Helicobacter Pylori causes stomach cancer.
There are a variety of mechanisms that these microorganisms use to cause tumor growth.
Human papilloma virus and Epstein Barr Virus inhibit the function of P53 in order to cause tumor growth in our bodies.
The Hepatitis virus and Helicobacter Pylori cause constant inflammations in our body that increase the risk of cancer.
However, infections from these microorganisms are just a step within the diverse mechanisms of cancer growth. Viral infection alone does not cause cancer. In addition, there are genes called "oncogenes" that stimulate the growth of tumors in our body. Therefore, it is extremely important to activate these tumor-suppressing genes in the course of treating cancer.
Cancer Differentiations
Some 60 trillion cells in our body are grown from a single embryo. A single embryo will differentiate into various stem cells that grow into various cells in our body. This process is called "differentiation". Therefore, a higher amount of "undifferentiated cells" will tend to actively divide into daughter cells and cause active cell growth.
As a result, more "undifferentiated cells" in the tumor tissue will mean that the tumor is more "malignant". It tends to metastasize faster, resist treatment and result in a bad prognosis. However, between the differentiated and undifferentiated types, there is an intermediate type.
Cancer Stages
Cancer stages are determined by the size, lymph node metastasis and remote metastasis. The combination of these three factors is called TNM(Tumor, Lymph node, and Metastasis) staging.
As shown in the table, the size and the invasion level determine whether the tumor is T0 or T4. N0~N4 are designated for lymph node metastasis. To evaluate remote metastasis, the M0 (no metastasis) and M1 (metastasis) stages are used. T0 refers to a stage where there is a tumor but one that is too small to invade into its neighboring organs. In the case of cancers, the T0 stage refers to a cancer that only grows on the epithelial cells. These tumors can be surgically removed using an endoscope.
| Primary tumor (T: tumor) | T0 | No visible tumor |
| T1~T4 | Different stages based on tumor size and invasion levels | |
| Lymph node metastasis (N: lymph nodes) | N0 | No lymph node metastasis |
| N1~N4 | Different stages based on various lymph node metastasis status | |
| Remote metastasis (M: metastasis) | M0 | No remote metastasis |
| M1 | Remote metastasis |
Normally, the size of the tumor determines its risk level. Large tumors may cause various defects by compressing the neighboring organs and nerves even without metastasis. Lung cancers compressing on the nerves under the clavicle to cause neurotic pain are called pancoast tumors. In addition, rectal cancer may invade into the bladder to cause hematuria.
Lymph node metastasis refers to the state where the cancer cells are caught within the lymph node and grow in size. Normally, lymphocytic activities at the lymph node kills any invading foreign objects.
Therefore, cancers that metastasize into the lymph nodes have the power to overcome the natural immunity of our body. If it were to metastasize further into the lymph node from its primary origin, this means that the cancer is much stronger than the cancers that metastasize only into the neighboring lymph nodes.When cancers metastasize into other organs, the prognosis is usually bad regardless of the primary site.
There are common metastasis origins for certain cancers. For example, prostate cancer, breast cancer and thyroid cancer tend to metastasize into bones, whereas colon cancers tend to metastasize into the liver and lungs.
The cancer staging system is made based on the TNM staging system in order to look at the progression of cancer. Since it is classified based on clinical presentation, it may also be named "clinical progression classification". Depending on the stage, some cancers may be treated with surgery and some may not even have a surgical indication.
The cancer staging system can also be classified into various organs as in the TNM staging. The following is the staging system for cervical cancers.
| 0 | When the cancer resides within the epithelium | |
|---|---|---|
| I | Ia | Ia1: Cancerous cells invade into the basement membrane but within 3mm of distance and 7mm of size |
| Ia2: Invasion depth is within 3-5mm and the size is within 7mm | ||
| Ib | Ib1: Tumor is well enclosed within the cervix and the size is within 4cm | |
| Ib2: When the size is larger than 4cm | ||
| II | IIa | Even though the tumor invades into the vagina, it did not invade into the lower 1/3 of the vaginal wall. It still did not invade into the uterine cavity. |
| IIb | Same as the above, but invasion into the uterine cavity | |
| III | IIIa | Invasion into the lower 1/3 of the vaginal wall but did not invade into the pelvic wall. |
| IIIb | Invasion into the pelvic cavity and definite hydronephrosis symptoms | |
| IV | IVa | Invasion into the bladder or rectum |
| IVb | Invasion over the pelvic cavity | |
Cancer Epidemiology
There have been 3,000 fewer cancer deaths since 2003 in the US. This improvement has to do with various factors such as early diagnosis, improved eating habits and the introduction of integrated treatments. However, in lessa affluent populations such as the Hispanics and African-Americans, cancer deaths are still increasing.
Even though cancer deaths are still raising in Japan, cancer deaths in the young population have halted. For example, cancer deaths for males in their 50s have reached equilibrium and cancer deaths in females are actually decreasing. We can decrease the number of cancer deaths based on early diagnosis, improvements in eating habits and early treatments.
The Truth About Cancer Treatment
In order to decrease the rate of cancer deaths, improvements in lifestyle, early diagnosis and early treatment are extremely important. However, what should we do if we actually have cancer? No one can stop themselves from panicking when they are diagnosed with cancer If it is an early-stage cancer, it may be cured with a simple endoscopic surgery. However, the problem starts when the cancer has metastasized into the lymph nodes and abnormalities. If the cancer constantly recurs, even after surgeries and chemotherapy, there may be a significant problem.
At this stage, it may be impossible to cure cancer completely.
If we treat cancer with chemotherapy in order to "cure" the cancer, we will end up killing more immune cells in our body and decreasing the quality of life of our patients.
It may even result in earlier deaths than expected. In addition, when chemotherapy does not work, the hospital will end up saying that they have tried their best but there is nothingelse they can do. They will end up giving up on the patients and asking patients to spend their last days with their families. That is how "cancer refugees" are created.
However, are there no treatment options at this stage of cancer?
Doctors who perform integrated and supplementary treatments will say that this is the time to start the real fight. They are the ones who lend their hands to those who are diagnosed with "end stage cancer". There are so many alternative treatment options that even doctors have a difficult time in making decisions. In desperation, many patients try out different things to cure their diseases.
Even though there are some supplements that are extremely effective for some patients, there are only a few that have constant positive effects on all cancer patients.
There are many cases where cancer has been cured with various supplements such as "Agarist" or "Fucoidan". However, there are no scientific data to say how many patients were cured, and at which stage of their cancer. Some patients may feel that some of these supplements are effective. It is important to determine which supplements are effective based on scientific research studies. We must verify scientific evidence such as tumor markers, body status and radiographic images in order to know which supplements are backed up by scientific results.
Chapter 1
Clinical Cases of Cancer
4cm breast cancer
(Patient T.H., 49 years old, female)
Doctor's examination
The patient underwent breast cancer surgery at 20, 30 and 41years of age. Although there was no evidence of malignant cancer found during those surgeries, she was diagnosed with malignant cancer in September 2007 when she was admitted to the hospital for pain in her right breast.
The hospital recommended surgery, but she visited our Garden Clinic to get a second opinion.
When we consulted a breast oncologist to discuss her treatment plan, it was decided that she needed surgery to remove the 4.0cm-diameter cancer located underneath the right nipple area.
In order to reduce the size of the cancer prior to surgery, neoadjuvant chemotherapy was performed (Taxol 60mg) along with hot gemstone therapy. There was a light hair loss complication at the beginning, but she began to show worsening emesis symptoms afterwards.
She was treated with hot gemstone therapy three times a day along with hyphal body supplements. When a mammography and ultrasound were performed on her breasts before the surgery, the tumor mass was nowhere to be found on those imaging modalities. As a result, the scheduled surgery was cancelled and the clinic decided to follow up the patient from then on.
One year following the final diagnosis, the tumor mass is still nowhere to be found on her breasts.
This is a definite case that proves the efficacy of thermotherapy and enzymes, used along with chemotherapy.
⊕ Anti-cancer drugs, hot gemstone mat, hyphal body supplements.
3cm breast cancer, pleural invasion
(Patient K.M., 46 years old, female
Doctor examination
She was diagnosed with breast cancer in December 2007 when she visited the hospital for a check-up about pain in her left breast. Even though she went to other hospitals to confirm her diagnosis, all of the doctors' answers were the same.
A 3cm x 3cm tumor mass was found, surrounded by two small masses with dimensions of 13mm x 10mm and 13mm x 11mm. She went through neoadjuvant chemotherapy four times before the surgery (Epirubicin 80mg, Endoxan 800mg). Since December, she has been treated with hot gemstone therapy twice a week. In February, she decided to purchase the mat and was treated twice a day. In May, her surgeon checked her status and reported that the tumor mass had shrunk significantly. It was one of the best neoadjuvant chemotherapy results in breast cancer history. Adjuvant chemotherapy was performed after the surgery and there were minimal side effects from anti-cancer drugs. She is now awaiting breast reconstructive surgery.
When the patient was diagnosed with cancer at university hospitals, she asked her doctors about thermotherapy.
However, the doctors said that their hospitals were not performing thermotherapy because "heat causes cancer to spread because of improved blood circulation". As of result, the hospital saw this case as an extraordinary one where the neoadjuvant chemotherapy was extremely effective.
At the Garden Clinic, hot gemstone therapy was performed along with the administration of large doses of vitamins (60g, 500cc bolus) and placenta shots.
⊕ Anti-cancer drugs, jewelry hot stone mat, placenta shots, vitamin C and others
Cholangiocarcinoma, Sigmoid colon cancer
(Patient T.S., 70 years old female)
Doctor examination
She was diagnosed with cholangiocarcinoma at both liver lobes when she visited the hospital in November 2007 for upper abdominal pains. She was also diagnosed with a highly differentiated 15mm sigmoid tumor during colonoscopy, and no other tumor was found in later tests.
She was hepatitis B/C negative and showed no improvement after Gemcitabine treatments. Since advanced cholangiocarcinoma has a poor prognosis and is inoperable, her doctor said that she had about a month left to live. Then, she visited our Garden Clinic to receive a second opinion. Since she was able to eat food orally, she was treated with thermotherapy along with high doses of vitamin C, black yeast, Yam and Fucoidan.
Since she lived very far away from the clinic, she stayed at the clinic for a while to learn how to perform thermotherapy by herself when she goes back home. Since Gemcitabine showed no improvement, TS-1 was prescribed as her anticancer agent. Since the chemotherapy dosage was only 1/2 to 1/3 of a normal dosage, there were no side effects. When she visited the clinic for her follow up, her hard abdomen started to soften and tumor markers were improved.
When she told her doctor, who had said there were no treatment options left, the doctor was extremely surprised to see how her condition had improved.
"Since your last visit, your tumor shrunk by 30%. When you were first diagnosed, it was almost impossible to treat you. It is an extremely rare case and you must have benefited from the thermotherapy."
"I was treated with thermotherapy and vitamin C."
"I think the TS-1's effect was the significant player in your improvement. Since you don't seem to suffer from serious side effects, you may live a long life if you keep up your medication."
That doctor does not even know that her TS-1 dosage is 1/2 to 1/3 of the normal dosage. Since the doctor said he will not continue to examine her if she does not take the anti-cancer drugs,she keeps this fact secret from her doctors.
Now, she is in a difficult position because the doctor is asking her to take Gemcitabine, which was not effective during the first administration.
⊕ An anti-cancer drug, hot gemstone mat, large doses of vitamin C, black yeast, Yam, Fucoidan.
Doctor comment
When she refused to take Gemcitabine because of its ineffectiveness and side effects, her doctor told her to go to a
Improving tumor marker of T.S.
hospice center if she does not want to take medication.
I told her to go to another hospital for future treatments. The kind of oncologist who only wants to use anti-cancer agents to fight cancer are the ones who create "cancer refugees".
Currently, this patient is healthy and her quality of life is being well-maintained. She does not have to change her treatment plans anymore.
Esophageal cancer and tracheal stenosis
(Patient U.Y., 65 years old, male)
Patient comment
I was diagnosed with esophageal cancer when I visited the hospital in May 2008 for severe fatigue. I was told that the cancer was stage 4a and was inoperable. As a result, I was treated with two cycles of chemotherapy and radiation for two months. On August 5 th , I heard about the Garden Clinic and was admitted on August 14 th .I was treated with the hot gemstone mat, hormesis hot stone therapy, vitamin C and germanium shots.

I decided to purchase the hot gemstone mat and was treated twice a day at 70 degrees during the day and normal
Before treatment, whole body CT, arrow points the tumor
temperatures during the night. I took three kinds of supplements as well.

When I visited the hospital again in August, I was told that my cancer had improved significantly.
When they decided to biopsy my esophagus, I was told that my cancer had completely disappeared. I was extremely surprised. I am very healthy now. I cannot believe what has happened to me.
Even though my cancer is completely cured, I am still being treated with hot stone therapy to prevent recurrences.
Hot gemstone therapy, hormesis hot stone therapy, mushroom enzyme extract, vitamin C, germanium, papura-ru.
Prostate cancer
(Patient M.K., 66 years old male)
Patient comment
When I was taking a hot bath in October 2001, I heard a cracking sound which was accompanied by a severe pain in my hip. When I visited the hospital, I was told that I had a fracture.
Even though I was admitted right away, my symptoms did not improve and I was discharged afterwards.
The next year in May, I visited a large hospital to receive a full body check-up. That was when I was diagnosed with prostate cancer. My tumor marker was 12715.0 and that meant it was inoperable. I was treated with hormone therapy afterwards.
Then, I visited the Garden Clinic and started being treated with thermotherapy. Since I stopped taking my hormone medicines, my tumor marker that was down to 0.15 was increased to 41 in September 2007.
As I was treated with thermotherapy, hot stone therapy, south mist, placenta shots and hormone therapy, my tumor marker started to decrease rapidly. WhenI measured my tumor marker in May 2008, it was down to0.011.
Even though my tumor markers are very low now, I am still being treated with thermotherapy three to four times a month.
Even though my body is fatigued due to hormone therapy, I feel much better after the thermotherapy. Since I suffer from severe side effects, I still feel occasional excruciating pain. However, when my microcirculation improves after the thermotherapy, I feel much better.
Doctor comment
As in the first and second cases, thermotherapy is extremely effective for breast cancer because the tumor mass is very close to the skin surface. In addition, in the third case, the hard tumor mass was palpable on the abdomen, which is why thermotherapy showed great results. When lesions are deep within the pelvic cavity, thermotherapy may not be as effective. One thermotherapy more frequently for such cases.
The patient M.K.'s tumor marker that dropped all the way down to 0.011 in May 2008
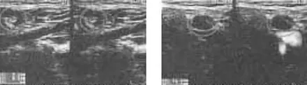
Bilateral breast cancer, 10mm and 12 mm
(Patient H.K., 51 years old female)
Patient comment
It was February 2008 when I was first introduced to the infrared mat. I asked my father, who had had rectal cancer surgery in January, to use this product. As a result, he slowly started to regain his health during April and May.
Now, he is very healthy and working at his farm again. That is when I started believing in the powers of this mat.
Additionally, I also was diagnosed with possible breast cancer. In November 2006, I visited the Shizuoka Cancer Center to be examined.
The doctors found a 10mm and 12mm tumor in both breasts.
The hospital asked me to go through surgery. Even though I was scheduled for surgery, I decided to heat up my body every day with an infrared mat because I saw how my father had regained his health from it. I used the mat for an hour each day. I heated up my entire body to 70 degrees for five months.
This month, a mammography was performed and surprisingly enough, my tumor had shrunk.
There was no need to go through surgery. In addition, the doctor said that my breasts were like those of women in their 30's because of the increased number of mammary glands.
Not only did the infrared mat cure my cancer but it made my breasts seem young again.
⊕ Used jewelry infrared mat and other treatments.
06.11, 12mm mass at the right and 10mm mass at the left breast
08.7 tumor mass has shrunk and there is no need for surgery anymore
Breast cancer with three tumors,
including one tumor 3cm diameter
(Patient T.K., 76 years old female)
Patient comment
I was diagnosed with breast cancer in February 2007 and asked to go through surgery. I had three tumor masses including one 3cm tumor mass. Since I knew about the infrared mat, I decided to refuse the surgery and heat up my body for one hour each day for four months.
As of result, my 3cm tumor shrunk down to 1cm and one of the three tumors disappeared. All of my doctors were extremely surprised.
Even though I do not have to go through surgery anymore, I am still using infrared mat therapy. It is not just my breast cancer that was cured infrared mat. There was another surprising result as well.
Since 1994, the sight in my left eye was very bad and I was told that it was incurable even after undergoing surgery. I saw objects in red and black colors afterwards. However, after using the infrared mat, my vision became very clear.
I am also very surprised at the fact that my chronic back pain has totally gone as well. I am living a very healthy life now.
Neck epithelial cancer, lung metastasis
(Patient H.Y., 50 years old, male)
Patient comment
I was told that there was the possibility of cancer when I was treating my gingiva at Okinawa Hospital on April 23rd .
On May 13th , I went to another hospital to get a CT and echo images. Since I had to do something in between, I started taking 2 grams of Fucoidan three times a day from May 16th and hot gemstone therapy for one hour a day.
When my results came back on May 19th , I was diagnosed with stage 4 epithelial cancer and had an 11mm mass in my lymph nodes. I was able to feel a hard mass under my chin and was told that was the cancer had metastasized into my neck and chin. On May 22rd , I was admitted to the hospital but the mass under my chin was gone. I took 2 grams of Fucoidan three times on May 23rd . On May 24th , my doctors ordered a PET scan in fear of lung metastasis.
That day, I had one hour of hot gemstone therapy and 2 grams of Fucoidan three times.
On May 29th , my doctors gathered around to decide on my treatment plans as they reviewed the PET scan results.
However, I heard my doctors saying that the cancer had disappeared completely. Instead of metastasizing into my lungs, the existing lymph node metastasis was totally gone as well. Those masses were not even palpable anymore. They were surprised to find out that the cancer had disappeared even before the treatment. They were not able to understand what had happened to me.
Breast cancer, lung metastasis
(Patient M.Y. 34 years old, female)
Patient comment
I was diagnosed with two tumor masses in my right lung in February 2008. The primary location had been the breast and it had metastasized into my lungs, trachea, brain and bones. I was told that I only had three months to live.
I began my chemotherapy and radiation therapy.
I was introduced to the hot gemstone mat on July 14th and was treated for 40 minutes each day at 70 degrees. I had melena since the first day and had bloody sputum on the second day of the treatment.
From the third day, I started to regain my appetite.
On August 1st, my images showed that the upper airway cancer had disappeared and the lower airway cancer seemed to be in a dormant state. The thickness of the body fat around the tumor mass has decreased as well.
My blood test results were normal as well.
Stated using infrared mat since 2008. 7. 14
Lung cancer 2008. 2. 22 2008. 8. 1
In order to prevent cancer recurrence and progression...
Preventing the cancer's recurrence and progression after the diagnosis is the most important part of the cancer treatment.
We know cancer as a lifestyle disease. As in diabetes and hyperlipidemia patients, it is very important for cancer patients to maintain a healthy lifestyle.
It is well known that diabetes patients and obese people have a higher risk of cancer. Normally, when tumorsuppressing genes such as P53 regulate cell apoptosis, cancer cells cannot survive in our body.
In order for cancer cells to grow, the P53 gene's power has to be suppressed. In other words, our body's immune system has to be compromised in order for cancer to grow.
It is very important to keep healthy eating habits as well as a healthy lifestyle in order to prevent cancer.
The correlation between smoking and cancer is well documented by a multitude of research.
Smoking, as well as UV ray exposure and drinking alcohol, is known to have a significant role in cancer occurrence as well. It is important to adapt your lifestyle according to the Ten Commandments announced by the World Cancer Research Fund.
Chapter 2
Do Not Fear Cancer!
Everyone has more than 3,000 cancer cells
growing in their bodies
There is one thing that all cancer patients should keep in mind. It is the fact that, "the disease is caused by their lifestyle and can be fixed by their will." Understanding the causes and features of a disease is much more important than understanding its treatment methods. I will introduce some major features of cancer in this chapter.
Since many people think that cancer equals death, people fear cancer much more than its actual threat warrants.
We will look at how people die of cancer first and see how our misconceptions are wrong in most cases.
Firstly, people do not die of cancer. In other words, cancer is not the direct cause of death in cancer patients. For example, in myocardial infarction, coronary artery occlusion causes the inefficiency of nutritional support in the myocardium.
Then, the heart will stop because it does not have enough energy to run. Rather than being the direct cause of death, cancer is an indirect cause of death in most cancer patients. As cancer cells proliferate infinitely, they cause secondary threats to our body. That is how cancer distinguishes itself from other diseases.
As cancer cells grow, a large amount of nutrition is required for it to function. As a result, the normal cells in our body start to receive less nutrition. Since cancer cells tend to monopolize nutrition as they get bigger, more normal cells will suffer from energy deficits. That is the reason that cancer patients get thinner as the cancer progresses. At the end of the disease course, the proliferated cancer cells will replace the normal cells and cause the organs to shut down completely.
In simple words, lack of nutrition and the replacement of normal cells with cancer cells are the causes of deaths in cancer patients.
We will not die of cancer if they do not grow!
With that stated, how can we not die of cancer? The key is in "inhibiting the growth of cancer cells" and "providing enough nutrition".
Around 3,000 to 6,000 cancer cells are created each day in healthy people. Even though these cancer cells are made, the immune cells inhibit the growth of cancer cells and prevent tumor masses from growing within our body. Many health products promote their product as an "immune system amplifier". However, unless a person's immune system is compromised, everyone has an immune system that can fight off cancer. If there is a normal immune system, it can inhibit the growth of cancer cells.
In order for our immune system to remain intact, we need to improve our lifestyles and reduce stress. Everyone can reduce their psychological and physical stress by modifying their lifestyles.
The next part has to do with nutritional support. However, there is one thing that has to be kept in mind.
Cancer cells highly favor glucose, especially processed glucose.
When cancer patients are injected with high-levels of glucose, the cancer cells will grow rapidly. Supplying cancer patients with a great deal of nutrition at once will result in the rapid growth of cancer.
It is extremely important to provide nutrition to cancer patients in the form of a meal. It is preferable to provide patients with unprocessed rice and vegetable-oriented meals. Cancer cells do not favor nutrition from vegetables. An adequate lifestyle and modification of eating habits will prevent cancer cells from growing.

This is how cancer grows
Cancer cells form a mass by proliferation.
During the process of DNA replication, replication errors may occur.
This is how cells transform into cancer cells.
When irreversible damage is done to the genes, many more replication errors will occur. In medical terms, this is called "initiation". The damaging factors to the gene that start the initiation are called initiators. These may be things such as free radicals, active enzymes, UV rays, toxic gases, radiation, poisons and various chemicals.
All of the people that are exposed to initiators do not get cancer. It is very difficult for cancer cells to actually grow into a mass. That is because immune cells like macrophage and NK cells detect and kill cancer cells before they get a chance to proliferate.
However, if immune cells do not function properly, cancer cells may grow into a cancer mass. In addition, some cancer cells may disrupt an immune cell's immunity functions.
Viruses, fats and salt are the factors that interfere with an immune cell and they are called "promoters". If an immune cell's functions are compromised, cancer cells will grow faster and faster. This process is called "promotion".
Cancer is caused by gene replication errors
Let's talk about how cancer cells progress into the disease. Cancer cells are made due to the "initiation" process where replication errors occur. If the immune system is compromised, these cancer cells will be "promoted" into a larger mass. The promotion process refers to the period when cancer cells slowly grow into a large mass. If cancer is diagnosed at this period, lifestyle and eating habit modifications may cure the disease.
However, the cancer mass tends to grow rapidly from this point onward. That is when patients become very thin.
This period is called "progression". During this period, the patient will lose significant amounts of weight and be fatigued easily. Normally, at this stage, it is too late to do anything more to make the patient get better.
Since the patient's strength to fight off the cancer is almost depleted, there is nothing to do but wait for a peaceful death.
At the last stage of the promotion process, the cancer mass has a 2-3 cm diameter. At this stage, the patient's number of immune cells, usually lymphocytes, are significantly decreased.
Lymphocytes are like the commanders of our immune system. When the lymphocyte count declines, it means that our body's immune system to fight off the cancer is being compromised step by step.
It grows by 1kg within 10 to 15 years
The doubling time of one cancer cell (the time it needs for a cancer cell to double its number) is about 15 days to two months. It takes about one to four years for a cancer cell to duplicate into 1 million cells. When the cancer cells reach this number, our body's immune system actively inhibits the growth of cancer cells from this point on. Therefore, the doubling time is lengthened to approximately two to three years.
As a result, cancer cell needs 9 to 14 years for it to grow into 1 g of mass.
When the cancer mass reaches 1 g, 1 billion cancer cells are within the cancer tissue. At this stage, the tumor mass is easily detectable in a medical examination.
At this stage, the tumor growth drive is amplified significantly whereas our body's immune system is being compromised. Therefore, it takes a 1 g tumor mass about 1.5 years (three years on average) to grow into a 10 cm or 1 kg mass.
When a 60 kg person has a 1 kg mass tumor, that person will die very soon. In conclusion, it takes one cancer cellbetween 15 to 20 years to grow into a 1 kg mass.
The most important factor in cancer treatment has to do with preventing these progression processes.
In other words, as long as we do not let the cancer progress,
we can prevent patients from dying of cancer.
The most important factor in preventing cancer has to do with improving a person's natural immunity. Even though bomb-like chemotherapy may be important, it is also important to prevent cancer growth naturally through our own immune system.
Therefore, instead of solely relying on Western medicine to treat cancer, our minds, lifestyle improvements and traditional treatment methods have to be properly combined to meet the patient's requirements in order for the treatment to be completely effective.
We will know the treatment plans when we understand
the features of the cancer
What is cancer? If we get to know more about the features of our feared enemy, we will find peace of mind.
There are seven major features of cancer.
Normal cells have mutated into cancer cells.- It does not take orders from the outside.
- It does not have a lifespan.
- It proliferates without control.
- It metastasizes.
- It creates new blood vessels.
- It has a strong life force.
When we look at these features, It effluxes anti-cancer agents. is easy to figure out that
Do not fear cancer! cancer is something that must be feared. However, if we look at these features carefully, we can find answers in the cancer treatments. Let's take a look at these seven features in detail.
- Normal cells have mutated into cancer cells.
Normally, cancer cells are created due to genetic damage to normal cells. These damaged cells are programmed to die off but some of these cells may mutate into cancer cells. - It does not take orders from the outside.
Cancer cells are not programmed to take orders from the outside. Since cancer cells do not take orders to stop the proliferation process, they will continue to grow eternally until they kill the host. - It does not have a lifespan.
Normal cells are programmed to kill themselves when they reach a certain age or when any defects are detected within the cell. This process is called apoptosis. However, cancer cells do not stop the proliferation process even when there are defects and apoptosis signals. In addition, while normal cells are programmed for apoptosis when they have proliferated for a certain number of cycles, cancer cells do not have this function that stops them from proliferation. - It proliferates without control.
Cancer cells do not stop proliferating even when the host is dying. Since it needs more energy during the rapid proliferation process, it will continue to take away energy from the normal cells even during the death of its host. - It metastasizes.
When cancer cells proliferate, they will metastasize into other organs through blood vessels and lymph vessels. Metastasized cancer cells will proliferate again and metastasize into other organs again. If this process is repeated, we will not be able to localize the cancer to treat the cells effectively. - It creates new blood vessels.
Since cancer cells proliferate without control, their activity is much higher than the normal cells. Therefore, in order to supply nutrition, cancer cells make their own blood vessels that exclusively support the cancer cells. When these vessels are formed, cancer cells will not die while they have enough energy. - It has a strong life force.
When cancer cells form a large mass, enough nutrition cannot be supplied all the way to the center of the cancer cells.
However, cancer cells can live for some period of time without any nutritional support,.. unlike normal cells that tend to die right away.
It effluxes anti-cancer agents.
In addition, cancer cells are able to pump anti-cancer agents out of their systems when we treat the cancer with anti-cancer drugs. It is the same mechanism that normal cells use to pump out toxic materials from their systems. Genes that pump out toxic materials are over-expressed in cancer cells to effectively fight off anti-cancer drugs.
That is why some anti-cancer drugs become ineffective after several cycles of treatment, (An example is the ADG gene, an anti-cancer drug gene.)
Gene variability When we look at some tumor masses, they are composed of different types of cells. This means that a group of cancer cells that have chromosomal defects are grouped together to form a cancer mass. When there are a variety of cancer cells within a mass, it means that our anti-cancer drugs will be effective for some cells while being ineffective for other cells. However, if we were to treat our patients with multi anti-cancer drugs to fight off a variety of cancer cells, the patients would suffer from serious side effects and this may increase the risk of death from chemotherapy.
The immune system suppresses cancer growth
As you can see, cancer cells have phenomenal functions that make them dangerous. Their functions cannot even be compared with normal cells. However, there are some normal cells that can actually fight off cancer.
Lymphocytes, including natural killer cells, attack cancer cells based on a systemic immune system. Since our immune system is able to handle 3,000 to 6,000 cancer cells a day, we have a good support system that we can normally rely on.That is how we normally evade cancer.
Therefore, we must utilize chemotherapy and radiation at the level where it does not compromise our immune system.
We can utilize those treatment options with thermotherapy and supplementary treatments that strengthen our immune system. We can modify our eating habits and include various vegetables, mushrooms and sea plants that strengthen our immune system.
The most important part of the treatment process has to do with our minds. The treatment results are very dependent on the patient's mindset: some think "I will be cured no matter what I do," whereas others think "I will die soon no matter what I do." We encourage our employees to talk to our patients so that they can keep their hopes up.
We try our best to create an environment full of hope for a complete cure. We enjoy vegetables and seafood all together to make sure that people do not stop laughing while they are in the hospital. We allow our patients to talk to their friends and even enjoy their favorite pastimes during their stay at the hospital.
Since the environment is very important, we try our best to make patients feel at home. Some people actually ask us whether our building is a hospital or not.
However, the most important thing is to treat our patients with effective treatment plans. When people regain their strength, they will naturally find hope and laughter in their lives.
Hot gemstone therapy is the key factor in this entire process. Let's learn more about our thermotherapy and immune reinforcement therapy.
Chapter 3
Heat the Body with Thermotherapy
Hypothermia is the cause of all diseases
Hypothermia is the cause of many diseases. Hypothermia refers to a low body temperature state during various chronic diseases.
But, what is hypothermia?
If the hands and feet are cold while body parts close to the heart are warm, you may suspect hypothermia. If you have hypothermia, you may warm up your cold hands and feet but still feel cold inside.
Hypothermia is a symptom that can be felt by your body. It is caused by poor blood circulation within the body. Low temperatures will cause the capillaries in the hands and feet to contract. When they contract, warm blood from the heart cannot transfer heat to the entire body and this causes the body temperature to cool down.
According to Professor Abo Touru of Nagata University, when the body cools down, the blood vessels will contract and the sympathetic nerves will be excited. When the sympathetic nervous system is excited, granulocytes will be excreted and promote the inflammation process. If we are able to excite the parasympathetic nervous system during this process by heating up the body, we will be able to activate the lymphocytes to improve our immune functions.
During hypothermia, the sympathetic nervous system will dominate the body and cause the blood circulation to slow down. Since not enough energy is circulated within the body, our immune system function will be compromised.
Then, why do people go into hypothermia when blood circulation is not improved even when heating up the body?
That is because the outside temperature affects our body temperature as well as psychological factors such as drugs and food. For example, people with a lot of stress will tend to have a greater risk of poor circulation. Therefore, an adequate amount of rest and a relaxed frame of mind will balance out our autonomic nervous system and improve our blood circulation.
If we do not have an adequate amount of exercise or relief from our stress, we will continue to suffer from hypothermia and poor blood circulation. When our body is not supplied with enough energy, our immune function will slowly decline until it is unable to protect our body from foreign invasions and cancer.
Cancer patients usually have low body temperature
The relationship between our immune system and body temperature is very important. If our body temperature is around 36°C, our body will have a sufficient amount of immune functions.
However, if our body temperature is around 35°C, our immune functions will decline. This is the optimal temperature for cancer cells to be active.
A 1°C drop in our body temperature will cause our immune function to decline by 40% and a low body temperature will create an environment where various diseases can be active in our body.
When a disease is activated, it is really difficult to cure because of our body's compromised immune system. If you have a problem of relieving the cold, check your temperature first. If it is 35°C or early 36°C, do not hesitate to heat up your body.
Low body temperature means that your immune functions are declining and failing to protect your body.
- Imbalance in the autonomic system
- Decreased metabolism
- Lower production of ATP
- Decline in physiological activities due to lack of vitamins and minerals
- Inactivation of enzymes and poor blood circulation
Low body temperature will cause our bodies to become compromised in various areas. When the enzymes are inactivated, a lot of cellular activities will be compromised. If cells are surrounded by non-degradable fat like trans-fatty acids, it will not be supplied with a sufficient amount of vitamins and minerals. The common cause of cancer and cardiovascular diseases is trans-fatty acid. As you can see, enzyme activities are very important in maintaining a healthy life.
Without enzymes, there is no life
Enzymes are catalysts that stimulate chemical reactions in our body.
Starting from breathing, the heart beating and moving, enzymes are involved in all of our body processes such as absorption, transportation, excretion and other functions. Without enzymes there is no life.
Enzymes may be found in raw vegetables, fruits, fish and other organic food products. They are composed of proteins in our body. Their role is to transform the various organic and inorganic materials in our body into a usable form.
In some parts of medicine, we define death when the enzyme level is at zero. At low body temperature, enzyme activities will be inactivated. There are 60 trillion cells in our body and within those cells, there is an organ called a "mitochondria" that functions as an engine within our cells. Glucose is transformed into ATP and this is transported to various cells for energy supply. The reason that we are able live a healthy life has to do with the functions of ATP.
If there is not enough enzyme activity within our body, our body will not be able to produce enough energy. Then, our cells will start to age and their physiological activities will decline. Even though it may not seem directly related to the body temperature, these defects are caused by hypothermia.
It is good to solve the cause of hypothermia.
When we look at our patients' data, 100% of our cancer patients are suffering from bad capillary circulation and hypothermia.
Although we cannot tell whether the cancer caused the hypothermia or if the hypothermia caused the cancer, it is almost definite that the hypothermia caused the low enzyme activities that played a significant role in the cancer outbreak.
The biggest cause of cancer has to do with a poor lifestyle.
Cancer outbreaks are caused by an environmental factor that is favorable to the cancer cells.
If there is a cause of hypothermia in our everyday lives, we need to modify our lifestyle cancer cells. Normally, the cause of hypothermia is bad eating habits. If we keep on consuming processed food, we will consume too many proteins, fat and glucose.
However, since those foods lack essential nutritional elements such as minerals and vitamins, our body's enzyme activities will start to decline.
Therefore, if people keep eating habits that lead to severe weight loss, their body's immune system will be severely compromised. If they keep on eating cold and sweet food along with maintaining an unhealthy lifestyle, their body will soon go into hypothermia.
As we have discussed, a poor lifestyle is the main cause of hypothermia that eventually causes cancer outbreaks.
A 1-degree increase in body temperature results
in a 40% increase in immunity and 43°C causes
cancer cell death
Because cancer cells favor low body temperatures, it is favorable for our body to increase its temperature by 1°C in order to create a body that is able to effectively fight off cancer cells.
Increasing the body temperature by 1 degree is not the important issue. The important issue has to do with increasing our body temperature up to post-36°C so that our body can improve our immune system to fight off the cancer.
According to Professor Abo, our immune functions are improved by 40% when we increase our body temperature by 1 degree. We will be able to fight off a large portion of cancer with this effect alone. Natural forces like immune functions are very important in the course of cancer treatment and will have a significant effect on the treatment outcomes.
The result of chemotherapy is highly dependent on an intact immune system. Anti-cancer drugs not only attack cancer cells but normal cells as well. That is why anti-cancer drugs have severe side effects.
However, if we adjust the dosage, we can minimize the side effects. If we improve our body's immune system, we will be able to minimize the dosage of anti-cancer drugs. This can be a very effective system in fighting off cancer.
However, it is important to know about the anti-cancer drugs in order to minimize the dosage while still allowing them to be effective on the cancer cells.
Hypothermia is related to life
Only 10 to 20% of normal anti-cancer drug dosages are sufficient
It is well known that cancer cells are heat-sensitive. That is why thermotherapy that heats up the body from the outside is very effective.
Since there is a low blood flow within the tumor mass, its temperature can be easily increased. Since the normal cells surrounding the tumor mass have a thermostatic function, their temperature will not be increased as much as the cancer cells.
Therefore, there will be a temperature gradient between the cancer cells and the normal cells.
When the tumor mass is at 42°C, it will become inactive. However, since a normal cell's temperature is limited up to 40°C due to the cooling effects of blood flow, they will not be as affected as the tumor cells.
Since tumor cells do not have a sufficient amount of blood vessels, they are not under regulation of the autonomic nervous system. Therefore, they do not have enough blood flow, they produce lactates and are in an acidic state. As cells become more acidic, they become more heat sensitive. Therefore, when the temperature is increased to more than 42°C, cancer cells are more likely to die naturally.
When a cancer cell's DNA is damaged by radiation and chemotherapy, it will become weak for a period of time but will soon recover. However, when the cells reach 42°C in temperature, their repair functions will be disabled and they will die off. Even though it may resist heat for a short period of time, repetitive treatment will cause its resistance to weaken.
Therefore, a repetitive thermotherapy will cause immune functions to improve and cause the cancer cells to die away.
In addition, when we attack weakened cancer cells with radiation and chemotherapy, they will become much more effective. The reason that we need only 10 to 20% of normal anti-cancer drug dosages has to do with these synergistic effects. By reducing the dosage of anti-cancer drugs, we can reducethe severity of side effects and increase the therapeutic effects by combining them with various immune reinforcement therapies.
The dosage used in this therapy is the same or less than in Professor Dakahisi's dormancy therapy.
Even though it is inevitable to compromise the immune system with the standard three treatment options, our thermotherapy and immune reinforcement therapy will be able to support the immune system in the course of various cancer treatments.
Body temperature will drop when the
sympathetic nerve system takes over the body.
The autonomic nervous system shows that temperature is highly related to the immune system. The autonomic nervous system controls our autonomic body functions such as breathing, metabolism, temperature control, digestion and blood circulation. When our body is in a tense state, the sympathetic nervous system will take over the body. When our body is relaxed, the parasympathetic nervous system will take over our body. The balance between these two systems plays a significant role in maintaining homeostasis in our body. When the parasympathetic system takes over our body, the number of lymphocytes increases and the immune functions are improved. Our body temperature is also maintained at a high level. However, if we are under a lot of stress, the sympathetic nerves will take control of our bodies.
When we go to sleep, our body temperature tends to increase and heat up our hands and feet.
However, if the sympathetic nervous system is in charge of our body, the temperature will not increase and we will have a difficult time going to sleep because of cold hands and feet.
Even though one of the systems may take control, our bodies soon goes into a balanced state. However, if we are in a tense state for a long period of time, the sympathetic nervous system will be in charge of our body for a long period of time as well. Then, our blood vessels will contract and cause our body to have poor blood circulation. As of result, our body temperature will decrease significantly.
There is a chance of hypothermia when the parasympathetic nervous system totally takes over our body. If the parasympathetic nervous system takes over our body completely, our body will go into an extremely relaxed state and inhibit any kind of movement. It may cause people to become extremely depressed and to stay at home all the time. Since these people will not move around much, their blood circulation may be compromised as well. In addition, when the parasympathetic system takes over our body for too long, blood vessels will become too dilated and cause our body temperature to drop.
Our autonomic nervous system finds its balance in our everyday lives. Therefore, it is best to live a balanced life throughout the day. We should refrain from living a life that is focused just on one state of mind. We should modify unhealthy lifestyles and prevent our body temperatures from dropping as well.
Diseases caused by neurological imbalances
autonomic nerve dysfunction, paranoia, sleep disorder, depression, hypertension, diabetes, circulation defects, angina, myocardial ischemia, arrhythmia, peptic and duodenal ulcers, irritable bowel syndrome, constipation, diarrhea, ulcerative colitis, numbness, atopic skin inflammations, asthma, Bechet's disease, hypothermia, infertility, cancer
Reference: "Over-eating and Disease" "Health Revolution" (Shuto Ro)
What is the fourth medicine, thermotherapy?
Western medicine has played a key role in the treatment of cancer up until now. The three standard cancer treatments are surgery, chemotherapy and radiation. However, these three treatments do not cure cancer completely. Surgery is only able to remove visible cancer but cannot remove cancer at a cellular level. Chemotherapy and radiation not only attack cancer cells but normal cells as well. Therefore, it is very difficult to completely remove cancer from our body.
Complementary medicine and integrated therapy are treatment options that compensate for the disadvantages of these three standard cancer treatments. They are being recognized as an alternative treatment plan when Western medicine is no longer effective.
In other words, it is Eastern medicine, aromatherapy, supplements, chiropractic care and hot spring therapy combined with Western medicine that will achieve the maximum effects. Other than traditional treatment methods, lymphocyte reinforcement therapy and therapies using cytotoxic lymphocytes and dendritic cells are also being used.
Complementary medicine is a field of medicine that uses methods other than Western medicine to reinforce the parts where Western medicine is lacking. It refers to an integrated medicine that combines Western medicine along with Eastern medicine and cell therapy.
Cancer cells are Vulnerable to Heat
We perform "thermotherapy" as the basis of our immune reinforcement therapy. Since most cancer patients' body temperatures are under 36°C, we need to increase the body temperature in order to improve the patien's immune system.
In addition, since cancer cells are vulnerable to heat, thermotherapy can both kill cancer cells and improve the body's immune system, achieving a dual effect.
As we have discussed before, cancer cells are vulnerable to heat. Even though normal cells can handle temperatures of up to 47°C, cancer cells can only handle temperatures of up to 42°C. By taking into consideration the characteristics of both normal and cancer cells, various methods have been utilized to treat cancer, such as a warm water peritoneum wash after cancer surgery.
There have been numerous reports where cancer has been cured after a high fever. In addition, 1/3 of those whose cancer was naturally cured showed high fever symptoms.
The relationship between cancer cells and heat has been talked about for a long period of time.
It wasn't until the late 1960s that thermotherapy in cancer patients finally began. Actual clinical trials were started in the mid-1970s when the National Cancer Institute of the USA held a national symposium on thermotherapy and radiation for cancer patients. During this symposium, the NCI announced that thermotherapy showed promising effects on cancer that did not respond to radiation treatment. At this time, radiologists began to take an interest in thermotherapy.
At first, a heating device using microwaves was made as a prototype. Currently, thermotrons, which use radio waves, are used. By using radio waves that vibrate 80 million times per second, the device heats up the deepest part of our body.
There is still controversy as to whether to heat the cancer mass locally or to heat up the entire body.
In our institution, we believe that the overall heating of the body will not only kill the cancer cells, but also strengthen the body's immune system. Therefore, we are taking the approach that heats up the entire body.
Hyperthermia can be used along with radiation and chemotherapy
Hyperthermia can be used along with radiation and chemotherapy
Let's take a look at the reasons that hyperthermia is effective in treating cancer cells.
Since cancer tumors are not supplied with enough blood flow, they are in a severely acidic state.
When cells are in an acidic state, they tend to die easily when heat is applied.
Even though a cancer cell's DNA is damaged due to radiation and chemotherapy treatment, it is able to repair itself. However, at 42°C or higher, its repair functions decline, causing the cancer cells to become more vulnerable to other treatments. Even though cancer cells may show heat resistance in the first phase of thermotherapy, their resistance will become weaker as the treatment cycle recurs.
Therefore, it is important to perform thermotherapy repeatedly. In addition, synergistic effects may be achieved when thermotherapy is combined with radiation and chemotherapy. With thermotherapy, only 10-20% of the normal chemotherapy dosage is needed to treat cancer. In addition, combining other immune reinforcement therapies along with these treatments may be effective as well.
Even though there have been many cases in which a tumor has shrunk due to thermotherapy using a thermotron, it is still not considered to be a standard treatment option due to its high cost as well as insurance policies that only cover the cost of 6 cycles of thermotherapy only when used along with radiation treatments.
In order for it to be effective, more treatment cycles are needed. However, many patients refrain from going through more cycles of thermotherapy due to their insurance policies.
Since a hospital cannot charge a patient excessively, the poor cost-benefit ratio is stopping many hospitals from implementing this treatment. Rather than being introduced in larger hospitals, thermotherapy was first introduced in local hospitals due to these reasons.
Some doctors do not know about thermotherapy
Another reason why thermotherapy is not widely used is because many doctors do not even know about thermotherapy and its effects. There are some patients in our clinic who have met doctors who say, "applying heat to a cancerous tumor will improve the blood flow and allow the cancer to grow faster." Since they cannot tell their doctors that they are being treated with thermotherapy, their doctors often become curious about how the tumor has shrunk so significantly.
There are a lot of doctors who only acknowledge the three standard cancer treatments. If patients ask for alternative treatments, those doctors say, "I cannot be responsible for those treatments. Go to other hospitals if you really want to proceed with alternative treatments." That is how "cancer refugees" are made.
There are a lot of cases in which doctors perform ineffective chemotherapy on patients and compromise the patients" quality of life because they only acknowledge the three standard cancer treatments. Their lack of knowledge of other treatment options is the reason that "cancer refugees" are made.
There are many oncologists who cannot provide integrated treatment to their patients. This is the biggest difference between cancer treatments in the USA/EU and those in Japan. The treatment effects of hyperthermia are well known in Japan by research done by professors at the Sugawara Kyoto University.
In 1983, the Japan Thermotherapy Association was established to publish various researches on hyperthermia each year. Even though the association is lead by radiation oncologists, doctors in other fields are beginning to join the association for further research. Thermotherapy treatments are especially promising due to their minimal side effects.
Devices other than thermotrons, such as far infrared rays and heating domes, are being used to perform thermotherapy.
However, even though their general heating processes may be effective, their local heating effectiveness has yet to be determined. Rather than being used as a treatment, those devices may be used to increase the basic body temperature in everyday life in order to strengthen the immune system.
Heat treatment for cancer using a 70°C
[158 degrees] hot mat
I strongly believe that thermotherapy should be considered as a fourth option other than the three standard treatment options.
By treating cancer with a 70°C hot mat, we aim to reinforce the patient"s immune system while weakening the local cancer tumor by increasing its temperature above 42°C.
When cancer cells weaken due to a strengthened immune system, a body will be oriented toward a curative direction and will show great results.
I am not trying to say that thermotherapy alone can cure cancer. But by increasing the body temperature and combining it with other immune reinforcement therapies, we can make the cancer cells vulnerable to other treatments.
For example, when performing chemotherapy on patients, the addition of thermotherapy to the regimen is crucial to use the minimal dosage for the maximum effect. If we combine chemotherapy with thermotherapy, we can achieve the same effect with a dosage where there are no side effects.
Since patients do not suffer from side effects, a patient"s quality of life will not be compromised during the treatment process. This alone can be a great advantage to the patients.
Thermotherapy will allow not only chemotherapy and radiation, but also other cancer treatments to be more effective with minimal side effects.
Thermotherapy is required in order to change the body into a curative state. That is why strongly believe that thermotherapy should be considered as the fourth medicine in the treatment of cancer.
Weakening cancer cells by increasing the local temperature above 42C [107.6 degrees]
HSP Cures Diseases
Another reason thermotherapy is so effective is because of its activation effects for heat shock proteins (HSP). Heat shock protein is known to protect cells from thermal stress when thermal stress is applied to the cells.
In order for our body to prevent HSP secretions and allow it to recover, our brain actively secretes hormones called endorphins. People sometimes feel happy when they run or exercise. Such effects have to do with the endorphin that provides happy emotions and relives pain.
Therefore, we believe that when we perform thermotherapy on patients, endorphins are secreted to protect our patient's body from pain. Eighty percent of cancer patients are prescribed morphine to control their pain. However, in thermotherapy, we may proceed with the cancer treatment without any use of morphine.
In addition, heat shock proteins activate lymphocytes called natural killer cells and promote the synthesis of anti-cancer interferons to strengthen the body's immune system.
Heat the body with thermotherapy Heat shock protein's basic function is to protect our body from stress and repair damaged cells. It also activates other immune cells by detecting foreign bodies within the body and makes cancer cells vulnerable to other immune cells.
Since heat shock proteins are made by heating up the normal cells, we do not need to heat up the body as much as when we treat cancer. Therefore, there is a treatment modality called "mild heating." At our clinic, we combine hot mat therapy with steam saunas and hormesis hot stone therapy to promote the synthesis of heat shock proteins.
HSP fixes malfunctioning proteins
In Professor Itoyoko Jun of Aichi Medical University"sbook HSP Cures Diseases, he lists how HSP cures diseases as follows:
- Proteins are damaged in all traumas, diseases, and stresses
- HSP fixes defective proteins
- Cells have two methods of death: necrosis and apoptosis
- HSP inhibits apoptosis and strengthens cell"s life force
- The amount of HSP are increased when the body is heated
- Cells become stronger when they are heated
- Mild thermotherapy is effective in treating various diseases and defects
In simple words, HSP is like a joker card in a card game.
It has been reported that the HSP level increases when a mouse"s body is heated up. When the mouse is heated up for 30 minutes at 40-41°C, its HSP level increased on the first day, peaked on the second day, started to decrease on the fourth day and normalized on the seventh day.
Another interesting result was the fact that the HSP level at the adrenal glands, which deal with stress in our body, was at its peak level on the second day. In addition, the HSP level at the hypothalamus was at its peak on the fourth day, whereas the HSP level at the gastrointestinal system was at its peak on the second day.
When we heated up 5 patients" bodies for 40 minutes, their temperatures were increased by 2°C and their HSP level peaked on the second day. Based on these results, Professor Ito Jo concluded that the maximum treatment effects may be achieved when we heat up the body two days prior to the anticipated stress.
Immunity (TNF alpha) HSP70(Lymphocyte)
You can increase the level of HSP at home
The advantages of mild thermotherapy are as follows:
- HSP are produced.
— Body defense mechanisms are strengthened - It improves immune functions (NK cell activation, antigen presentation, interferon, TNF)
— Cancer killing effects and infection immunity are strengthened - Blood flow is improved
— Drugs are more effective because drugs are pumped into the cells - Lactate production is delayed
— Physical capacity is improved - Body temperature is increased
— Higher metabolism, healthier cells, more fatty acid combustion - Sweating
— Waste materials are excreted with sweat - Endorphin production is stimulated
— Pain alleviation - Prevents aging
Mild thermotherapy can be performed at home as well. Drink 500 cc of water before getting to a hot tub and set the water temperature at 40~41°C. Spend 10 minutes in the tub and make sure that your body does not get cold during the
process. Choose your comfortable temperature after a few days.
Lead cancer cells to apoptosis
One of the biggest advantages of thermotherapy is the induction of cancer cell apoptosis.
The concept of apoptosis was first introduced 40 years ago by Dr. Curie. Apoptosis is a genetic function that not only gets rid of defective cells such as cancer cells, AIDS-infected cells and other autoimmune system attackers but it allows aged cells to provide body protection.
In year 2000, research reported that, "mitochondrial activity is important in the apoptosis process". It was reported that Cytochrome C made from mitochondria initiates the apoptosis process.
Production of ATP in mitochondria
When Cytochrome C ate made from mitochondria.
Normal cells go into apoptosis when they age. However, it was reported that cancer cells do not go into apoptosis because their mitochondria are not actively producing Cytochrome C. Much research was published afterwards to support this result. It was reported that cancer cells only haveone-fourth the mitochondria count found in normal cells. Thermotherapy increases HSP levels. Since HSP are called transporter proteins and they replicate mitochondrial activities,they are able to produce the Cytochrome C that leads cancer cells into apoptosis.
Since there were cases where an end-stage cancer patient"s tumor mass has disappeared completely within 1 month of treat-ment at our clinic, we strongly believe that thermotherapy can lead cancer cells into apoptosis.
The innovator of thermotherapy has
improved end-stage cancer by 70%
Dr. Frank T. Kobayashi has been performing thermotherapy to treat cancer for 10 years. When he implemented thermotherapy in large hospitals, 70% of 52 end-stage cancer patients became better after the treatment.
This treatment combines 2 hours of thermotherapy with chemotherapy treatments. By combining the two treatments, they were able to reduce the drug dosage by 1/10 to 1/20.
The treatment was aiming to lead cancer cells into apoptosis by increasing the body temperature by up to 39~40°C. When the body temperature is at 39~40°C, the body"s immune system is improved 2~20 times as well.
Dr. Kobayashi named this treatment "immune thermotherapy" and has announced that he has found a cancer treatment method that does not have any side effects.
However, the 20 years of work done by Dr. Kobayashi were dismissed due to a government policy that only covered half of the insurance cost.
As a result, his hospital had to close down.
Since our treatment plan also combines thermotherapy with the minimal dosage of anti-cancer drugs, our concept is very similar to that designed by Dr. Kobayashi.
This is why we can understand that Dr. Gobyashi"s results were up to 70%.
Hot gemstone therapy can increase
temperature up to 70°C [158 °]
We have searched the entire nation to find a device that is cheaper than the Thermotron but can achieve the same heating effect. We almost settled on a device called the HIFU(High Intensity Focused Uitrasound) that burns cancer cells with ultrasound, however, we were lucky enough to find an infrared mat device that uses hot gemstone therapy.
This mat allows the user to adjust the temperatures within the range of 35~70°C. When the mat is set at 35°C during sleep, it aids the body to achieve an autonomic nervous system balance. There is one large and one small mat included in the device. The user can fit the cancer mass between these two mats to increase the local temperatures.
When we started using this device, our treatment results started to increase dramatically. There were cases where breast cancer and prostate cancer completely disappeared within 2 to 3 months of treatment. It not only cures cancer, but it is also able to have a curative effect on diabetes, hypertension, cerebral ischemia and depression as well. Now, let me introduce our hot gemstone therapy.
The hot gemstone therapy, infrared mat is a product made Korea.
The mat is composed of 17 layers of the following:
Korean amethyst, USA black tourmaline, aluminum, silica, and silicon (Japan Karere, Super Fiber). USFDA and USUL certified.
Japan Karere carbon ceramic is able to reduce the amount of electricity consumption by 60% compared to other electric mats. In addition, it emits the far infrared rays (8~12 μm) that are favorable to human bodies, whereas it inhibits the production of electromagnetic waves.
The conversion function that converts plus ion to minus ion, IC chip and soft touch control system allows its user to conveniently adjust the temperature in between 35~70°C
Two major features are the far infrared ray
and the negative ion effect
1. Effects of the far infrared ray
When we emit 7 colors of light, we know that the temperature is increased when purple turns to red. Since there are no colors above the red spectrum, this particular spectrum of light is called the far infrared ray. The far infrared ray is both an electromagnetic wave and an energy wave. Depending on its frequency, there are intermediate waves and short frequency waves. Long frequency waves are considered to be beneficial to our body.
Long frequency infrared ray
* Radiation function (reaches the destination without going through the air)
* Deep impact (penetrates deep into its target unlike other rays)
* Heats up the body and also causes vibrations within the body
* The far infrared ray penetrates 14~1 5 cm deep into the body. Therefore, it affects skin parts as well as organs, blood vessels, lymph, nerves and other deep parts of the body.
2. Effect of negative ions
Minus ions only exist in a clean environment. An ion is a particle that contains electrical energy. An atom is the smallest unit of all matter and 1cm3 of clean air contains 250~300ions.
In order for cells to function properly, the balance between minus ions and plus ions has to be properly maintained. If there is a lack of minus ions within the cells, effective nutrition absorption and waste excretion functions are declined. Therefore, people with a lack of anions have a higher risk of hypertension, arthrosclerosis and cancer.
As the negative ions increase, the alkali level within the blood increases as well to support our body"s waste clearance system. It has been certified that use of the infrared mat improves back pain, insomnia, arthritis, neurotic pain and other symptoms. We use this device to weaken the cancer cells by heating up the body and reinforcing the immune system.
* To effectively use the infrared mat requires heating up the tumor mass 40-60 minutes once or three times a day at 70C. Sufficient hydration is needed before and after the treatment. Even though mineral water is preferred, add a little amount of salt when drinking tap water At our clinic, we use a special mineral water that contains zinc, magnesium, selenium and vanadium.
* Place a large mat on the floor and place the small mat on top of the tumor mass. Then, the device"s heat penetrates 14cm(6 inches) deep into the body from both top and bottom to provide a through heating effect. If the outside temperature is low, place a light sheet on top of the mat to increase the temperature. Currently, far infrared ray dome is combined with the infrared mat to treat the disease.
* Set the temperature at 35~40°C during sleep at night. High temperature prevents hypothermia and provides the minus ion"s therapeutic effects. Since cancer patient"s body temperature is usually low even during the daytime, it is important to maintain a high body temperature throughout the day.
* Thermotherapy may be applied to all patients, with the exception of brain tumor patients, who are well enough to intake food orally and take a hot bath.
When 70°C heat is applied for 50 minutes, the patient"s body temperature will go up to 39~40°C and start sweating viciously. When the body temperature is above 37°C and at 40°C, the immune function is increased 2 to 10times. Therefore, it is optimal in cancer treatment.
A lot of people give up during the first 60 minutes because it is difficult to withstand the heat. However, people get used to it after a while. It is known that more treatments are more beneficial to the body.
The infrared mat's infrared rays penetrates 14cm(6 inches) deep into the body
Temperature change before, during and after the use of infrared mat
Hormesis stone therapy increases immunity
It is recommended to perform hormesis stone therapy after the hot gemstone therapy. The origin of hormesis stone therapy is the Akita"s Tamagawa Hot Springs that is visited by 250,000 people each year. In addition, hot springs such as
Amanohashidate, Matsushima, and Miyajima Hot Springs are also famous as radium hot springs. Those hot springs are known to provide therapeutic effects on the liver, neurotic pain and rheumatism.
100 years ago, radium was detected from rocks harvested from the Tamagawa Hot Springs. After the finding, the place was named Hokutoseki.
The Hokutoseki research announced that the radium has therapeutic effects on neurotic pain, rheumatism, cardiovascular disease, hypertension and other diseases based on clinical trials that involved more than 200 professors from Tohoku University, Iwate University and Hirosaki University.
Radon is a gas produced from radium decomposition.
People inhale radon gas when they enter the radon hot springs. The therapeutic effects of this radiation were first confirmed by Dr. T.D. Luckey from Missouri University seven years ago. He reported that low level radiation maximizes the immune function to prevent the aging process.
Based on 20 years of research and clinical trials, low level radiation has the following effects:
- Induces apoptosis and activates a tumor suppressor gene known as P53
- Improved DNA repair function
- Activation of superoxide dismutase and glutathione peroxidase that inhibits body aging
- Activates metabolism
- Promotes secretion of the β endorphin and adrenaline
It may even cure muscular atrophy and rheumatism
There have been numerous reports that support the therapeutic effect not only for cancer but also for diabetes, hepatitis, muscular atrophy, Alzheimer"s, Parkinson"s, rheumatism, atopic dermatitis and other chronic diseases.
A global epidemiological research was performed as well. People living in the Rockies received the most natural radiation and showed the lowest cancer death rates of 15-25% throughout the world.
When we researched the cancer death rates of 9,000 people living in the Misasa Hot Spring region, a well known radon hot spring for 37 years, the cancer death rates were significantly lower in those who live around the hot spring.
In addition, the Taiwan National Science Foundation researched the death rates of 10,000 people who were exposed to a 500-1,000-times greater radiation dosage than the natural radiation dosage for 19 years. The results showed that these people had only a 5% death rate from cancer death, whereas it was 20% in the control group. It is clear that people exposed to low-dosage radiation have a lesser chance of growing a tumor mass. The therapeutic effects of low-dosage radiation have been proven by more than 2,000 research studies throughout the world.
We have to use hormesis hot stone therapy
Therefore, the usage of hormesis hot stone therapy is inevitable.
At our clinic, we use Hokutoseki and Badugashuteinsan rocks that emit low-dose radiation. In addition, we paint the walls and floors with silica powders and use ceramic sheets that emit radon to the patients.
In addition, we have installed a steam sauna that emits alkali ionic water into the air within the hospital to allow the natural skin absorptions of radon.
It is recommended to drink 500 cc of good quality water after the hot gemstone therapy and receive 5 minutes of therapy with 5 minutes of rest in between. It is recommended to perform 2 cycles of therapy each day.
Most of the cancer patients are in hypothermia where their body temperature is under 36°C. However, when these people go into hormesis hot stone therapy, their body temperature is increased by 2°C.
There are some people who experience a difficult time sweating during the process, however, most people will start to sweat vigorously after 1 week of treatment.
When people sweat, dioxins, lead, mercury, chemicals, and heavy metals deposited within the body will be secreted as well.
Integrated visible light treatment improves
the immune system and pain control
We also perform light therapy that uses sun ray-like light on the patient"s entire body.
Various methods use various devices and methods such as infrared lamps and ceramic heaters (thermotherapy), lasers, infrared ray treatment and xenon lamps.
Our light therapy uses a therapeutic carbon lamp that was developed in the visible light research center. Not only does it use light therapy on the patients, it also uses heat as a treatment modality during the treatment process.
The rays produced from the therapeutic carbons are integrated rays composed of far infrared rays, visible rays and a low dose of radiation. We aim to improve the patient"s conditions by using these rays on the patient"s skin. It reinforces the natural immune functions within the body to control the disease that is attacking it.
The rays that are being used during the treatment have very similar properties to the sun"s rays, but they do not contain theUV rays that are harmful to the body.
These rays have a variety of effects on the human body.
First, they convert the cholesterol within the skin into Vitamin D. Vitamin D activates the absorption of calcium within the intestine. It also improves the blood circulation within the body. In addition, it removes various factors that cause diseases within our body such as prostaglandin, histamine, and bradykinin while relieving pain in our body.
Since both Vitamin D and calcium have a close relationship with the immune system, an increase in both these factors will improve the immune system and possibly aid in inhibiting the growth of cancer cells. In addition, it promotes the phagocytosis of the lymphocytes to protect our body from infection.
In addition, it is known to improve fatty acid metabolism, purities, and kidney function as well.
There is a direct and indirect treatment option in light therapy. Direct therapy focuses the light on the patient"s tumor mass.
We have to use a light collector during the process.
We start from the body part that is farthest away from the heart during the direct treatment process. In the indirect process, we focus the light on body parts other than the tumor mass.
In between the hot gemstone therapy and light therapy, we utilize ion conversion therapy.
Since we only have to put the ion converter on top of the patient"s body, it is very easy to utilize between the various processes. Since its immune reinforcement function is very good, it is extremely beneficial to cancer patients.
When cancer patients utilize these treatment options, they
experience good quality sleep during the night. That is when natural immunity is most strengthened.
Far infrared ray and visible ray improves the patient"s conditions
Chapter 4
Clean the Intestinal Walls with Detoxification
The intestine is the second brain
The intestine is a very independent organ in our body. The heart circulates the blood in our body by acting as a pump and the kidney filters out various waste materials. However, those organs do not assess the quality of the blood or the amount of the blood during the process of pumping and filtering. In other words, hearts and kidneys do not pump more or filter less by assessing the amount and quality of the blood.
However, the intestine is able to assess the stomach contents independently from the brain. If the contents are toxic, it will try to vomit them out without absorbing them. If not, it will work to absorb the nutrition within the stomach contents.
Since it does not rely on the brain to make decisions, intestines are also known as the second brain. Even if the body is in a brain dead state, the intestines will not stop the digestive function within the body. The reason that people in a vegetative state can live is because of the active function of the intestines.
Intestines absorb the required nutrition in our body. When it receives toxic materials from the stomach, it evaluates the contents and tries to excrete it out as fast as it can. The intestine is the only organ that is equipped with its own nervous system that is independent from the brain. It is a special organ unlike any other organs within our body.
A balance between good microbe and bad microbe
It has been reported that serotonin, a neurotransmitter within the brain, also exists within the intestine.
Serotonin plays an important role in transmitting neuronal signals within the 15 billion neurons in the brain.
In other words, serotonin is at the center of brain function and affects the cortex, amygdale, hypothalamus, cerebellum, spinal cord and other brain parts.
Surprisingly enough, 90% of the serotonin contents within the brain are contained in the intestine as well.
The important factor that activates and deactivates the intestinal function is the normal flora within the intestine. Good and bad flora is in equilibrium within our intestines.
Even though the intestine has a complex governing system, its response rate will be compromised when it is overloaded: if the intestines are burdened with overeating, overdrinking, stress, heavy metals and toxic substances. Even though the balance within the intestines will be stabilized over time, it will be shifted toward the bad flora. If the flora conditions are shifted toward the bad flora, intestinal functions will be compromised.
The environment within the intestine should
be favorable to good microbes
There are 100 trillion microbes living within the intestine. It is composed of bad flora such as bifidus, lacto bacillus, clostridium perfringens, staphylococcus, and E. coli as well as bacterioids and other opportunistic microbes.
Good flora reinforces the intestinal movement to prevent constipation and diarrhea. It also improves the immune system to protect our body from infections. Not only that, but it also helps the nutritional absorption process within our body. During the healthy state, these good floras dominate the intestinal environment based on oligosaccharide as its food. They secrete lactates within the intestine to inhibit the growth of bad flora. In other words, good microbes within the intestine are working actively to maintain balance.
Bad microbes promote diarrhea and constipation. They make toxic substances such as ammonia, sulfuric acid and other toxic materials.
They also manage to create oncogenic substances within the intestines. However, we cannot eradicate these microbes within our intestines. Some of the bad microbes decrease blood cholesterol levels and promote vitamin synthesis within our body. The ideal intestinal environment should have some bad microbes existing under a dominant good microbe population. Such balance is the key to maintain-ing good health in our body. Bad microbes cannot use oligosaccharides as their food.
Lactobacillus is the only microbe equipped with a transporter that can use oligosaccharide as its nutrition. Normally, bad microbes use our fecal contents as their nutrition in order to produce toxic substances in our body.
Opportunistic microbes, like the name, synthesize vitamins and act like good microbes during a healthy state. However, when the bad microbes dominate the environment, they produce toxic substances.
Lactobacillus and oligosaccharide stimulate the growth of good microbes
Let's think about what we should eat in order to allow the good microbes to dominate the intestinal environment.
In other words, we should constantly eat nutrition that will promote the growth of good microbes in our body.
There are two ways to increase the number of good microbes. Firstly, we can consume food products that contain rich, good microbe contents such as yogurt, fermented beans, vegetables and other produce.
Secondly, we can consume products that aid the growth of good microbes such as oligosaccharide and vegetable fibers.
Even though some say that consuming live microbes will not aid the growth of good microbes within the intestine because they die off during the process of getting into the colon, I believe they are wrong.
Since good microbes are beneficial to the body even if when they are dead, they don't have to reach the intestines alive.
In order to let the good microbes dominate the intestinal conditions, we need good eating habits. If we eat food products that contain rich oligosaccharides and vegetable fibers such as vegetables, fruits and tofu, this will aid the growth of good microbes within the body. Since bad microbes cannot use this nutrition, this will inhibit the growth of bad flora within the intestine.
The balance between bad and good flora will shift toward a direction based on food, stress, sleep and other various factors.
If we only consume food products that do not contain oligosaccharides and vegetable fibers, bad flora will dominate the intestinal environment.
In addition, even though our eating habits are healthy, lack of sleep and stress will cause the growth of bad microbes within the intestines.
A healthy diet improves the microbes within the intestine
We are conducting a nutritional education for 35 baseball players from the Giants for Softbank.
Currently, the author of A Book for People Who Do Not Want to be Sick and the director of the Kyorin Preventive Medicine Research Center, Dr. Yamada Toyohumi is the advisor for our food therapy and fasting therapy. The eating habits recommended by Dr. Yamada are composed of tofu, beans, sea plants, vegetables, fish, mushrooms, and sweet potatoes.
Since traditional food is the basis of our clinic's meals, we also use these ingredients often in our meals. If we consume these food products on a daily basis, we will consume balanced vitamins and minerals. In addition, since they are alkali food products, they are easy to digest as well.
Since they are not composed of various acidic products such as milk, processed milk products, meat, eggs and sugar, they will not compromise the mineral balance.
In addition, the addition of fermented food such as miso and unprocessed rice will prevent people from over consuming protein and fat. The golden ratio of major nutrition is 15~18% protein, 25~30% fat, and ~60% of carbohydrates. This diet will allow many people to consume the golden ratio of nutrition.
Rich enzymes result in improvement in intestinal microbes
We are educating our patients to intake a sufficient amount of enzymes in their meals. As we have discussed previously, enzymes play a key role in our body's physiological functions. It is extremely important to improve a lifestyle that inhibits enzyme activities.
The major functions of the enzymes are as follows:
- Activation of metabolism
- Cell formation
- Reinforcement of natural immunity
- Hormone balance control
- Removal of excessive fat
- Stabilization of neurons
- Filtration of blood
- Excretion of toxic materials
A decrease in enzyme level will cause the cells to age. When the enzyme level reaches zero, it means that the person has died.
In other words, enzymes are key players in the life force and are used in all physiological activities. There is no life without enzymes.
In order to increase the enzyme levels in the body,
- Eat enough vegetable, fruits and fish products.
- Eat fermented food products such as fermented beans, miso and fermented vegetables
- Eat unprocessed food products such as brown rice
Since enzymes are vulnerable to heat, the cooking process will cause the enzyme activity to decline rapidly. Therefore, it is better to eat raw vegetables and fruits.
Therefore, people who consume food products that are rich in enzymes will have a good intestinal environment that is dominated by good microbes. Since rich enzyme contents are supplied to the cells, the cells will not age as easily.
Therefore, young people tend to have a richer content of enzymes in their body system.
On the other hand, people who do not consume vegetables and fruit but rely on animal proteins and processed milk products in their meals will tend to waste many digestive enzymes in their intestines. Then, their bodies will lack the various detoxification enzymes to detoxify the body.
In other words, over-eating will cause a depletion of the digestive enzymes that are needed in our metabolism process.
Lower enzymes result in weaker immune system
When the level of digestive enzymes decreases, the following happens:
- The enzymes used in energy production decrease
- When cells are not provided with enough energy, cells will age
- Detoxification within the body will become weaker
- Neuronal and hormonal balance will be compromised
- Immunity will weaken
- Cells go into necrosis and the body is vulnerable to various diseases
Dr. Churaumi, from the Churaumi Clinic, is performing enzyme therapy for chronic diseases to increase the enzyme level within the chronic disease patient's body. According to his book Secrets of Cancer Treatment, the lifestyle that prevents enzyme depletion is the following:
- Do not consume alcohol, food additives, artificial colors, or preservatives
- Do not eat high protein and high fat diet
- Eat less
- Do not take too much antibiotics and Western medicines
In order to activate these enzymes, we need minerals within the body. Magnesium is especially important because it interacts with 300 different types of enzymes within the body. Zinc is also important because it interacts with more than 200 types of enzymes. Zinc is also known to play an essential role in protein synthesis and metabolism. If the body lacks zinc, the skin tone will be compromised, as will the natural healing ability.
As you know, vegetables, fruits, sea plants, and seafood are rich in magnesium and zinc. Radish extract, cabbage, sweet potatoes, pineapples, kiwis, and bananas are rich in digestive enzymes. That is why it is very important to consume these foods on an everyday basis.
Since fruits and vegetables are rich in enzymes, it is important to consume these products on a daily basis.
Detoxify bad microbes with intestinal washing
Many patients with chronic diseases other than cancer visit our clinic as well. People with diseases are likely to have a compromised intestinal environment. As we include the phrase "soil of health" in the name of our clinic, we put a lot of focus on the meals that we provide. Even though it would be ideal to improve the intestinal environment based solely on eating habits, some patients require an urgent intervention to improve their intestinal environment. Therefore, we utilize intestinal washing as one of our treatment options.
We consider intestinal washing to be part of our medical practice. As long as we ensure its safety, its effects will be beneficial to our patients.
Intestinal washing is very important to chronic disease patients because it not only helps the digestive function but also improves the immune system because 70% of the body's lymphocytes reside within the intestines. The intestinal washing process will remove the bad microbes within the intestine rapidly. Then, we can promote the growth of good microbes by improving eating habits.
The gastrointestinal system shares 60-70%
of the immune system
There is another feature of intestines that helps us to maintain a healthy body.
It is related to the fact that the intestines contain the largest immune system in our body. Professor Uenogawa
Shuichi of Tokyo University explains that the intestinal immune system is composed of 60~70% of the entire body's immune system. In addition, he explains that the intestinal immune system is able to distinguish good microbes from bad microbes in the same manner that it distinguishes nourishment from toxins.
The immune system distinguishes the invaders and signals the brain to send macrophages and NK cells to kill the invaders. Intestines are able to independently distinguish invaders from the body.
The major immune organs are bone marrow and thymus.
Blood cells (red blood cells, white blood cells, and platelets)are made from the bone marrow, and T-cells are made from the thymus. The thymus starts to decrease in size and activity starting from the age of 17. It continues to decrease in size and becomes only one quarter of its original size by the age of 40.
Afterwards, the thymus does not, for all practical purposes, exist in our body. However, Professor Abo Touru found out that there are some T-cells that mature in the liver. Our body still has T-cells even with a smaller thymus.
However, people tend to have a weaker immune system after the age of 40 and become more vulnerable to various diseases.
The gastrointestinal system activates macrophages
and manufactures antibodies
The gastrointestinal system activates macrophages and manufactures antibodies
After the age of 40, the center of the immune system naturally shifts to the intestinal lymph organs. As we have discussed before, 60% of the body's lymphocytes are focused within the intestines. An organ known as Peyer's Patch detects invaders within the intestine to activate macrophages to secrete the interferon and interleukin that activates the immune system.
Therefore, starting from the age of 40, people should think about improving their intestinal environment regardless of whether they have any diseases.
Even though people focus on changing their lifestyles and eating habits, they normally forget to improve their body functions during the process. If there is an entrance, there must be an exit. Our clinic performs various treatments that help the body's basic functions such as intestine washing, fasting, and thermotherapy. We also perform various treatments that activate the immune system and combine them with Western medicine to provide an integrated and customized treatment that suits the body conditions of each patient.
Now, let's talk about the intestinal system along with its immune system.
Firstly, it is important to balance the intestinal microbes.
Normally, good microbes inhibit the growth of bad microbes to promote normal intestinal movements. In order to do so, it is important to perform intestinal washing if needed and change the eating habits in order to provide a favorable environment for the good microbes.
Secondly, it is important to promote "intestinal mucosa movement." The intestinal surface cells are surrounded by viscous materials and work to aid the digestive process.
However, when the body is diseased, the secretion of these viscous materials will decrease.
Thirdly, it is important to normalize the intestinal immune system. The immune system will attack invaders that are not removed by normal intestinal movements. When the intestine distinguishes the host from the invaders, white blood cells will attack the invaders before they get a chance to replicate within the body.
Macrophages and NK cells act as first-line defenses
against cancer
Let's talk about the immune system in detail.
Everyone's body produces 3,000 to 6,000 cancer cells a day. When some of these cancer cells survive the immune system, it takes 10 years for them to grow into a 1 cm-sized tumor. However, our body has a natural immune system that protects our body from invaders and cancer cells. The major players in our immune system are macrophages and NK cells. They act as first-line defenses against invaders and cancer cells. Macrophages are also known as phagocytes because they eat any foreign objects that invade the body. In addition, the NK cells selectively kill virus and cancer cells to protect our body. They are also able to kill cells infected with viruses as well as cancer cells.
These immune system cells act as first-line defenses against infection and cancer to protect our body from various diseases.
The Helper T-cell acts as a commander in the immune system
Helper T-cells are the immune cells that take care of the cancer cells when the macrophages cannot handle the cancer growth any more. They are like a commander in the immune system.
T-cells can be categorized into Th1 and Th2. Th2 deal with allergic reactions, and Th1 deal with immunity against cancer.
The higher the Th1:Th2 ratio, the better the immunity against cancer.
Helper T-cells secrete interferons in order to maximize the immune functions of macrophages and activate B-cells. B-cells can be considered as the second-line of defense. This second-line defense system receives information from the macrophages to make weapons against cancer cells and invaders. Killer T-cells, Helper T-cells, and B-cells are considered the second defense line. Like its name, the Killer
T-cell secretes toxins that perforate cancer cells. B-cells have a sophisticated immune function that utilizes antibodies to fight against various enemies. In addition, they are able to track the invaders to protect our body from the same invasions in the future. For example, the B-cells function to protect our body from measles after the first flare.
From "Introduction to natural immunity" that fights cancer cells
Cancer may die off without any treatment
If we think of the first-line of defense as the patrol, we should consider the second-line of defense as the SWAT team. Since this second-line immune system is prepared to fight off cancer cells, viruses, and bacteria, there is nothing to be worried about. The two-stage immune system protects our body from foreign attacks. It also protects our body from cancer cells to maintain a healthy life.
There are some cases where cancer cells naturally die off without any kind of treatment. This is to do with a change in the lifestyle and eating habits that affect the immune system.
However, even the immune system cannot fight off cancer cells when they are exposed to a poor environment that weakens the immune functions. When the power shifts toward cancer cells, a cancerous tumor will grow to be 1 cm in diameter within 10 years.
However, even when the immune system is compromised, we can change our lifestyle and lead the cancer cells to apoptosis in order to cure cancer that cannot be treated with modern Western medicine.
As you can see, intestines are vital in digestion as well as the immune system that protects our body.
Therefore, we must start from the intestines when we aim to cure any kind of disease in our body. In other words, the intestines are the basis of a healthy life.
Toxic materials slowly kill your body
In our everyday lives, toxic materials build up in our body without us knowing at all. When they build up, they may cause various diseases. Even though our body is equipped with various organs such as the liver and kidney to excrete toxic substances, those organs may fail to excrete all toxic substances, thus becoming the causes of various diseases.
Symptoms such as allergic reactions, metabolism abnormalities, fatigue, constipation, and chronic headaches may be caused by these toxic substances. People may even become hysterical due to the toxic substances within their body. In the modern era, it is normal for people to suffer from various toxic substances in their system.
Heavy metals, dioxins, chemicals, food additives, and preservatives are a few of the many toxic substances that we encounter in our everyday lives. These cause toxicity mainly in the liver and kidneys, but also in the skin and respiratory system. Dioxins, also known as environmental hormones, cause liver dysfunction, cancer, and infertility.
Academically, food additives are not harmful to the human body. Since those products have been authorized by the government, they should not be toxic to the human body. However, some of the authorized products are oncogenic and not authorized for sale in the United States. In addition, some of the toxic food additives have been authorized because of unscientific reasons such as it comes in small units that do not cause a toxic effect to the body.
However, that is like saying eating mercury in small units is not harmful to our body. When we say that Japanese people eat 11 grams of food additives per day per person, this means that one person will be eating 4 kg of food additives in a year, and 200 kg in 50 years. This would not cause any trouble if our bodies were able to excrete the amount that they absorb. However, toxic substances within our body will compromise the kidney and liver functions and end up accumulating within our system.
Detoxify your body with oriental medicines and supplements
When toxic substances accumulate within our body, we must consider the entrance and the exit in our body system to remove those toxic substances. It would be ideal to stop ingesting more toxic substances from then on. However, it is safe to say that all of the food products contain some sort of toxic metal and food additives. Even the air that we breathe in everyday life contains dioxins. It would be impossible to filter out these substances from the air that we breathe. That is why it is important to modify our lifestyle to refrain from eating a large amount of toxic substances in food.
Regardless of the treatment modalities that we use, we will not be able to cure any disease if we cannot stop people from ingesting more toxic substances. In order to treat these patients, we need to treat them with detoxifying oriental medicines and supplements along with sauna and thermotherapy to excrete toxic substances. In addition, intestinal washing can be combined with these treatments to improve the digestive function. Patients at our clinic experience the power of detoxification treatments for themselves.
Detoxify heavy metals and food additives
Diseases like Minamata disease and Itaitai disease are common diseases caused by toxic substances.
Since there are various regulations that control the quality of sewage water from the factories, diseases caused by natural environment pollution do not exist. However, environmental pollution is slowly progressing, and organisms that live in the natural environment are slowly being affected.
At the top of the food chain, we are slowly being affected as well. There are some toxic substances that accumulate in our bodies, whereas some substances are naturally excreted. Toxic metals such as mercury, arsenic, lead, cadmium, and tin cause chronic fatigue, liver/kidney dysfunction, headache, insomnia, and aching. These substances are consumed from food, the air, tap water, food additives, and cigarettes.
Mercury is accumulated within large fish such as tuna
Toxic substances may be accumulated within the body when we eat vegetables grown from polluted soil. Since Japanese people eat a lot of fish, they tend to have a high mercury accumulation rate. For example, tuna and large fish have a high mercury content. Sewage water from factories is converted into mercury and consumed by plankton in the sea. Then, it will go up into the food chain until the large fish accumulate a lot of mercury in their systems. As a result, Japanese people who love tuna will have a lot of mercury in their system. When we look at the guideline for the consumption of tuna for pregnant women, we are able to realize how exposed we are to toxic metals.
Toxic substances are not limited to the sea and the soil. Incinerators, metal processing factories, automobiles, and many more faculties produce toxic gases. If we look at this situation, we can say that the air is the most harmful factor in our lives. We cannot control the amount of air that we breathe, and it is nearly impossible to purify all of the air. In addition, dioxins tend to accumulate in our system like toxic metals.
One trillionth of a gram of dioxins affect your body
Out of the various toxic materials, environmental hormones. and food additives, the worst of the worst is dioxin. Much dioxin was in the air during the Vietnam War.
Did you know that a person born with undivided legs is caused by dioxin?
You probably remember the incident of "dioxin vegetables" in Tokorojawa seven to eight years ago.
Dioxin affects the genetic system in our body, promotes cancer, causes defects in babies, and decreases sperm count. As mentioned in the book Our Stolen Future, the toxicity is 10,000 times greater than hydrogen cyanide and 10 times greater than Pseudomas syringae bacterium. It is known that 1 trillionth of a gram of dioxin, a pictogram of dioxin, affects our body.
Many years ago, Teikyo University's reported on 34 sperm samples from healthy men in their 20s shocked the nation.
Out of 34 samples, only 1 sample was above the infertility standards.
Further shocking results appeared 10 years ago published by the Japan Infertility Association. The research was done on 60 males in their 20s. The results showed that 57 males out of 60 showed abnormalities in more than 10% of sperm and needed fertility treatment. When sperm abnormalities are above 10%, people need to have fertility treatment. The results showed that most of the young Japanese men had lost their ability to be fertile.
88% of the males who showed sperm abnormalities had a habit of eating a lot of hamburgers - most of the cows used for hamburger meat were injected with growth hormones.
Reference: Fujiwara Toshigas "Dixoin Zero Circiut"
Therefore, the environmental hormones consumed interfered with the natural hormonal system in the body and caused infertility in many of the males.
Japanese women's breast milk has the highest
dioxin contamination in the world
Japanese women's breast milk has the highest dioxin contamination in the world Hormonal abnormalities are not limited to males. The research of Professor Chuchumi Osamu from Tokyo University revealed the connection between the "effects of hormones interfering with a mammal's fertility capabilities," and the women who also had a high dioxin content in their body systems. The research collected pregnant women's blood, cord blood, and amniotic fluid to detect bisphenol A and dioxin.
The result showed that the samples contained hormones that interfered with endocrinological activities. In addition, a high concentration of environmental hormones, 8.3 ± 8.9ng/ml, were detected from the amniotic fluid.
The result showed that fetuses are also being affected by environmental hormones. Can you see how these environmental hormones are actually affecting the survival of our species?
It has been reported that Japan has the highest dioxin contamination in the world. Dioxin is massively produced from waste incineration. These hormones leak into rivers and seas after rain and accumulate in our water and fish, which is how it comes back to our bodies and accumulates in our systems.
Since dioxin tend to accumulate within the fat cells, 60% of fish products and 10% of meat products, consumption of those food products may be toxic to our bodies.
In addition, the dioxin concentration in Japanese women's breast milk was the highest in the world - the dioxin level in breast milk from Osaka was 51, it was 40 in the Netherlands, 37 in Britain, and 32 in Vietnam. In addition, the effects of dioxin are most toxic during the fetal and neonatal period.
The safe dioxin consumption level was set at 4pg/kg/day 8 years ago. However, babies who consume dioxin-contaminated breast milk consume 50~1 00pg/kg/day of dioxin. This is 25 times greater than the recommended amount.
We worry what happens to the babies that who consume a lot of dioxin in the neonatal period.
Chemical materials destroy children's brains
In addition, chemicals tend to interfere with hormone secretions and the autonomic nervous system in our body. In 1995, the the Sicilian Announcement was published to warn the world. It warned that when the fetus' thyroid gland is affected by environmental hormones, intractable neurological deficits such as cerebral palsy, mental retardation, learning disabilities, attention deficient disorder, and hyperactive disorders are caused. Dr. Benjimin F. Finegold, of the United States, who specializes in allergies, said that food chemicals (chemical additives), are responsible for 40% of children who are not calm and have attention deficits. In addition, mentioned in Our Lost Future, bisphenol A from plastic containers and steel is considered to be an environmental hormone that interferes with the body's endocrinological activities.
Its toxic effects are at the maximum level when fetuses are exposed to environmental hormones.
According to Dr. Iguchi from Yokohama City University, bisphenol A damages the fetus' brain by penetrating the blood-brain barrier.
You need to take control of your own health
Many doctors point out that the chemical substances that penetrate our body damage normal DNA and cause them to become cancer cells. In other words, the causes of cancer are not just limited to processed food and an intake of animal proteins.
Even though sales are the most important principle of many companies, consumers should be smart enough to boycott products that may affect the health of our nation.
Unless we take action now, it might be too late.
Don't you think that the current situation is like a large unprotected clinical trial? We must not purchase, use, or even make any products that may contain environmental hormones. Unless we take action now to control our own health through our own efforts, at some point the effects may be irreversible.
Detoxification improves natural immunity
There are too many food additives, preservatives, artificial colors, and chemical products that are harmful to our body.
Even though they may not be visible, toxic substances are prevalent in our everyday lives.
We cannot say that toxic substances are the direct cause of cancer and other chronic diseases because chronic diseases are caused by various factors. However, it is certain that toxic substances play a significant role in disease pathophysiology. It is the case that Western medicine approaches problems from the symptoms that the diseases show.
However, Eastern medicine focuses on removing the cause before starting the treatment. It is important to remove toxic substances, dioxins, and food additives from the body. This treatment is called detoxification. By promoting the secretion of toxic materials in sweat and urine, we can activate the physical function that overcomes the disease. This is called natural immunity. People with natural immunity are not affected by cancer and virus intrusions. The detoxification treatment removes the causes of various diseases. When we combine it with immune reinforcement treatment and thermotherapy, our body will return to its original state.
Our goal is not to cure diseases. We only help the body to return to its original state. Your own natural immunity will be the player that cures your incurable disease.
Chapter 5
Supplement Therapy Improves the Immune System
Fight with cancer based on the immune system,
apoptosis and angiogenesis
A simple intake of supplements will not magically improve the immune system. We should approach the treatment based on three mechanisms.
Firstly, improvement of the immunity that inhibits cancer growth. Secondly, inhibition of the angiogenesis that provides a nutritional supply to the cancer cells.
Thirdly, lead the cancer cells into apoptosis.
These three treatment approaches were first introduced by Dr. Abe from the Qudan Clinic. His clinic provides customized treatments for each patient by utilizing genetic analysis and activated lymphocyte treatments.
Firstly, we can use immune reinforcement supplements that contain black yeast, the agaricus mushroom, and βglucan. In addition, substances like lactobacillus and oligosaccharide that improve the intestinal condition may be useful as well, and we can use vegetable extracts rich in vitamin and mineral contents.
These treatment modalities will reinforce the natural immune system in the body.
Secondly, we can use supplements that inhibit new blood vessel growth. If we are able to inhibit angiogenesis, the cancer cells will not be provided with enough nutrition.
Substances that are useful are fucoidan, shark cartilage, chondroitin, and turmeric. It is also important to refrain from ingesting any fat or sugar that may aid the cancer's nutrition.
Thirdly, it is important to lead the cancer cells into apoptosis because they are much more resistant to apoptosis than normal cells. Substances like black yeast, mushrooms can have those effects.
Based on these three approaches, we can treat patients with various supplements based on the patient's condition. We can also adjust the treatment modalities based on the patient's budget.
The most important part of our treatment has to do with food. When food enters the gastrointestinal system, it activates the immune system. Dr. Koshima, the founder of Interferon, said that, "when food is taken into an oral route, it stimulates the Peyer's patch in the intestine and activates the macrophages. Then, it will produce interferons that inhibit the growth of cancer cells and virus replications." Pumpkin seeds, turmeric, and adlay are known to promote the synthesis of interferons.
Basic cancer treatment strategies
Therefore, as long as the patient has a good gastrointestinal function, there is a good chance of curing even end-stage cancer.
Change the intestinal environment that is favorable
to Bifidus using fructo-oligosaccharides
The next thing that we must consider is changing the intestinal environment to become favorable to good microbes.
Today, the intestines of Japanese people are very favorable to bad microbes because of the Western eating style that prefers instant food and processed food. Since people do not consume enough vegetable fibers, bad microbes such as clostridium perfringens produce a lot of nitrosoamine and cause colon cancer.
Therefore, it is important to consume fructooligosaccharides to change the intestinal environment into a favorable environment for good microbes.
The effects of Bifidus have been reported by Tokyo University's Professor Hakarioka, who published the paper "An intestinal environment that prevents aging and colon cancer".
- It protects our body from bacterial infection.
— Bifidus breaks down glucose and produces lactates to inhibit the growth of bacteria within the intestines. - It synthesizes vitamins.
— It synthesizes vitamins B1, B2, B12, K1, K2, nicotinic acid and folic acid. - It promotes intestinal movements and prevents constipation.
— Bifidus breaks down glucose and produces lactate to reinforce the Supplemental therapy improves the immune system. - It prevents diarrhea and colitis.
— It weakens bacterial activities. - It improves the body's immune system.
— Bifidus secretes substances that improve the body's immune system. - It disintegrates oncogenic materials.
— Bifidus inhibits the secretion of various oncogenic substances like nitrosoamine. - It promotes the absorption of calcium and iron.
— It promotes the absorption of organic acids.
In addition, it has been reported that Bifidus not only produces lactates but also butyric acid that inhibits the growth of cancer cells.
In other words, an intestinal environment that is favorable to good microbes results in a supply of fresh nutrition and oxygen to the entire body. Therefore, people who do not have constipation and cancer can also benefit from eating fructooligosaccharides to improve the intestinal environment. Since it can prevent colon cancer, it is strongly recommended.
Over-consumption of lineolic acid
is the cause of metabolic syndrome
Before taking the supplements, an adequate amount of fatty acid is also very important. One of the causes of metabolic syndrome is the intake of linoleic acid in animal fat, corn oil and cooking oil. Linoleic acid refers to an essential fatty acid in the Omega 6 family. It is synthesized from arachidonic acid within the body and promotes inflammation and coagulation
Substances such as DHA, EPA, linseed oil, and other fish oils are in the Omega 3 family and contain a lot of alpha-linoleic acid, which inhibits allergic reactions and inflammation.
Therefore, it is important to consume a lot of fish such as mackerel. It is also very important to change cooking oil to linseed oil. When people consume alpha-linoleic acid from the Omega 3 family, the body's cholesterol level will be improved as well as the brain functions.
According to Dr. Yamada, the economic growth of the nation has allowed people to consume more animal fat in their meats and caused more obesity and hyperlipidemia. That is when the government started to recommend the intake of linoleic acid in order to decrease the cholesterol level in the body. However, after much research, it was discovered that linoleic acid does not decrease the blood cholesterol level.
Rather, it was associated with atherosclerosis, colon cancer, breast cancer, allergic diseases, Crohn's disease, and other inflammatory diseases. As a result, Dr. Yamada and the Japanese Fatty Acid Nutrition Association published "Recommendations to decrease linoleic acid consumption" in 2002, based on data between 1980 and 1995, when the consumption of linoleic acid increased dramatically. Even though the recommended intake of linoleic acid is 7 grams per day, the consumption rate is 13 grams/day in normal Japanese people and in fact, Japanese people consume more linoleic acid than American people.
Omega 3 and Omega 6 have an antagonist effect on each other. When the balance between the two is compromised, various troubles are caused in neurons and blood vessels. The Ministry of Health, Labor and Welfare are still saying that the consumption ratio of Omegas 3 and 6 are 1:4. However, the current recommendation for the consumption ratio is 1:2 or 1:1.
The intake of fish, linseed oil, and other products rich in EPA, DHA, and alpha linoleic acid, will improve cell membranes' composition. It will promote easy energy facilitation in the mitochondria and improve the metabolism process. It also improves learning disabilities and other allergic diseases like atopic dermatitis.
Molecules high in polysaccharide stabilize
a cell's glucose chain
We have been using mushroom supplements because we believed that the β 1~3 and 1~6 glucans in the mushroom will reinforce the immune system. However, we have discovered that the polysaccharide chain on the cell surface acts as an antenna for the cells and plays a significant role in maintaining health.
We have also discovered that this is made from yeasts, mushrooms, fruits, vegetables, and other polysaccharides.
In the current research on these polysaccharides, it has been reported that, "glucose chains on the cell surface are highly associated with atopic dermatitis, renal failure, rheumatism and other diseases." In other words, the decrease of the glucose chains is the cause of many diseases.
Therefore, by supplying patients with polysaccharides that act as a building block for these glucose chains, diseases like AIDS and atopic dermatitis were significantly improved after the treatment.
The nutrition that builds this glucose chain is found in black yeast, glucosamine, chondroitin, honey cookies, fucoidan, and aloe. From these products, we chose to use an extract drink of black yeast, Agarose, meshimacope, and mushrooms. The drink was made based on the research from Tokyo University and Fukuri University.
Black yeast is made during the process of sugar manufacturing. It has been ionized and contains β1, 3~1 and 6 glucans, oligosaccharides, polysaccharides, inositol, and ferulic acid. It is a high molecule polysaccharide composed of 100,000 to 500,000 units. Mushrooms also improve the immune function as well as the kidney function. Since people are sensitive to different substances, it is important to combine these substances for the maximum treatment effect.
Glucose chains help to maintain life
Then, what are the functions of glucose chains?
They are on the cell surface and act as an antenna that detects viruses, toxins, cancer cells, and bacteria within the body. They signal to the white blood cells after detection and balance the hormonal secretion system as well. In addition, they play a significant role in the communication between cells to coordinate the transportation of various nutrients and signals.
The Integrated Research Center for Elderly Patients reported that all of the 60 trillion cells are covered with glucose chains made from proteins and fats. These glucose chains have a basic structure made from three mannose and two N-Acetyl-Glucosamines. Then, glucose branches made out of N-galactose, fructose, and sialic acid are attached to the basic structure. There were cases where some cells lacked in these glucose chains. The disease was named congenital disorder of glycosylation (CDG) and showed neurological /motor symptoms. It was also correlated with chronic rheumatism and autoimmune diseases.
The report concluded that by studying the functions of these glucose chains, they hope to find the causes of cancer and
other incurable diseases.
High improvement rate in 100 asthma patients,
confirmed by NIH
High improvement rate in 100 asthma patients, confirmed by NIH
NIH, a world-renowned cancer institution, reported that sthma patients' conditions improved when they were administered with 8 basic monosaccharides. The 8 types of monosaccharides are glucose, galactose, mannose, fructose, xylose, N-acetyl-glucosamine, N-acetyl-galactosamine, and N-acetyl- neuraminic acid.
It has been reported that glucose and galactose can be synthesized easily within the body by consuming carbohydrates and milk. However, the human body was lacking in the other 6 monosaccharides, which may be the cause of many of the diseases that we are suffering from.
As we have discussed before, food additives, pesticides and psychological stresses are the factors that interfere with glucose chain synthesis. We believe that when these glucose chains are destroyed, diseases like immunodeficie-ncy occur.
Not only beneficial to cancer treatment, glucose chain supplements are also very effective in treating atopic dermatitis and asthma. Therefore, it is extremely important to use supplements that normalize the glucose chain.
Activate enzymes by consuming physiological minerals
There is another important strategy that must be considered when taking supplements.
Other than supplying the essential minerals, it is important to drink bottled water that contains iron, zinc, cobalt, magnesium, molybdenum, fluorine, silica, nickel and many other minerals that are needed in our body. Water that contains these variable minerals comes from Abukuma Mountain which has been dissolving mountain minerals for 80 million years.
It is extremely friendly to our body and allows us to consume the various minerals that our bodies need.
Since the vegetables and fruits grown in modern agriculture lack in minerals, our body is not supplied with a sufficient amount of minerals all the time. This is one of the causes of many incurable diseases.
By supplying these minerals, we can activate the enzymes as well as the mitochondria in our bodies. People can directly experience its effect because when they drink this water, their body immediately heats up from the inside.
Not only that, but immune functions are improved as well. Therefore some cases have been seen where early-stage cancer was completely cured only by drinking these mineral waters. It was also reported that it treats blood glucose levels, blood pressure, and atopic dermatitis.
As we have discussed in previous chapters, the activation of mitochondria leads to the production of Cytochrome C that induces cancer cell apoptosis.
Another theory states that these minerals activate dormant genes to utilize proteins that attack the cancer cells.
Since the water is made from stones that are 70 million years old, it contains almost all of the minerals that exist on the earth. Some of these minerals may affect our bodies to function in special ways.
When the body is supplied with a sufficient amount of minerals, enzymes as well as mitochondria will be activated to supply energy in sick people.
Easy passage through the blood/brain barrier.
Activates mitochondria right away
Hydrogen capsules using potassium oxide produce hydrogen ion to effectively activate mitochondria. Potassium oxide was first introduced by a professor at one of the national universities.
Potassium oxide is combusted in the hydrogen gas to have a strong reduction power. Oxidation refers to objects binding with oxygen and reduction refers to objects taken away with enzymes. A good example is that rusting is oxidization and reduction is the removal of rust. Even though there were reduction waters being sold on the market, their hydrogen levels become very low when stored in cups and PET bottles for a long period of time.
However, our potassium oxide was reported to emit hydrogen for 5 days. It also had above 800Mv of reduction power. Hydrogen is a small atom that has 0.7 nanometers of diameter. It is able to invade any part within the cells.
In the hydrogen study by Professor Fukoda, rats with ischemic brains were prevented from brain damage when they inhaled 2% hydrogen gas. His study was published in the renowned science journal Nature.
Hydrogen penetrates deep into the cells and combines with oxygen radicals that show an 80% correlation with cancer, diabetes, myocardial infarction, brain infarction, allergy, glaucoma and other diseases. When hydrogen combines with oxygen radicals, it disintegrates the oxygen radicals into water and oxygen. That is how hydrogen can be therapeutic to the human body.
It shows immediate effects when inhaled into the body.
It disintegrates oxygen radicals within 30 minutes of administration. Since it activates mitochondria as well, it promotes energy production within weak patients. Even though the brain is equipped with a blood/brain barrier, hydrogen is able to pass this barrier without any resistance in order to affect our autonomic nervous system and hormone secretions.
Fucoidan's apoptosis induction method
Fucoidan is a well-known supplement that has a strong therapeutic effect on cancer. At the 55th Japanese Cancer Association's meeting held in 1996, "Research on fucoidan's anti-cancer effects" was published to tell the nation that fucoidan leads cancer cells into apoptosis while not damaging normal cells.
If the effects of fucoidan are the same for all cancers, we may no longer have to fear any type of cancer at all. The reason that we say that cancer is incurable is because cancer cells do not stop the replication process. Normal cells are programmed to die away when they reach a certain age. Cells also die when defects are detected within the cells.
This process is called apoptosis. However, cancer cells do not go into the apoptosis process even when they are damaged. In addition, while normal cells die after they have replicated for a certain amount of cycles, cancer cells do not have the function that counts its replication cycles. Cancer cells do not take orders from external signals. That is why cancer cells do not stop the replication process.
If we were able to completely remove cancer cells by surgery, cancer may not be so dangerous after all. However, since the cancer cells exist in every part of our body, it is important to induce apoptosis in cancer cells to prevent cancers from occurring in the first place.
If cancer cells did not replicate, a simple immune therapy may be sufficient enough to kill cancer cells. If the replication process is inhibited, attacks on cancer cells will become extremely effective.
Our body makes 3,000 to 6,000 cancer cells a day.
However, not everyone gets a cancer mass because their immune system fights off cancer cells every day. However, when the immune system is compromised, cancer cells will grow into a tumor mass. However, if we are able to induce the cancer cells' apoptosis by taking fucoidan, we can stop the cancer cell replication processes within the body.
High function supplements weaken cancer cells
A high concentration of vitamin C is toxic to cancer cells.
Much evidence is starting to back up nutritional treatment effects. One of the nutrition treatments that we use is the "high concentration vitamin C treatment". One of the scientists working in the NIH reported that a hi gh concentration of ascorbic acid (vitamin C) had a selective toxicity against cancer cells. Vitamin C's strong antioxidant effect produces an extremely large amount of hydrogen peroxide. Even though normal cells are able to neutralize hydrogen peroxide, cancer cells will die off because they cannot neutralize toxic hydrogen peroxide.
Therefore, vitamin C can have selective toxic effect on
cancer cells.
In other words, high concentrations of vitamin C have an effect like anti-cancer drugs. Since it does not have any side effects like other drugs, it may be applied to a wide range of patients. In fact, high concentrations of vitamin C are being used as anti-cancer drugs in some US institutions. We inject 50-70 grams of vitamin C into the patient's body each day.
Platinum and palladium materials promote oxidation and reduction to active organs in our body.
Since oxygen radicals are correlated with 90% of modern diseases, modern medicine is concentrating on how to deal with oxygen radicals. Professor Noguchi Hideo uses "Papral", a drug made from platinum and palladium, to handle oxygen radicals.
A colloid is a liquid where objects have been dispersed within. It has a good absorption rate within the body and produces hydrogen and oxygen to provide a strong oxidation and reduction power. Based on those effects, it is known to improve the immune function and increase the white blood cell count.
Since colloids are quickly absorbed into the cells, the hydrogen and oxygen made from platinum and palladium are directly provided to the cells' mitochondria. Then, the cells' oxidation and reduction functions will be strengthened as well as the toxic substance excretion function. Even though new drugs may have some side effects, Papral has minimal side effects. It was also reported that Papral has a 100-times greater effect in removing oxygen radicals than vitamin C. That is why we need to use this product to treat our patients.
Organic germanium produces interferons
Macrophages and NK cells are weakened as cancer progresses. That is why we treat our patients with organic germanium to compensate such mechanisms.
Organic germanium increases the enzyme level and activates the immune functions to massively produce interferons in our body. Therefore, interferons will reinforce the function of the macrophages and NK cells to attack the cancer cells in our body. Since organic germanium also acts as a semiconductor, it is able to deactivate the cancer cells' replication and even kill bacteria to prevent infections.
In addition, substances like placenta shots (harvested from human placentas) and garlic substances (multi-vitamins) may be used on patients depending on their condition.
The Garden Clinic Nakamachi's thermotherapy
and immune reinforcement therapy
6:00 Wake up. Breathe under the sunlight (breathing treatment) A walk after the reduced ion therapy (20 minutes), perform the reduced ion therapy again.
9:00 Breakfast Juice made from carrot, apple, cabbage and aloe. Miso soup (since mixers break down enzymes, it is cooked with low-pressure cooking methods)
10:00 (Rest)
- Reduced ion therapy (20 minutes)
- Integrated visible ray therapy (6 devices per person, 15-40 minutes)
- Hot gemstone therapy (60 minutes per therapy)
— Drink 500c of mineral water before and after the treatment - Hormesis host stone therapy (2 times in 5 minutes)
- Reduced ion therapy (for 30 minutes)
2:00 Lunch Udon, noodle, brown rice, radish, salad and other boiled vegetables
- Ion reduction therapy (20 minutes)
- Vitamin C, germanium, Paraple, Vitamin B17 and placenta shots
- Integrated visible ray therapy (15~40 minutes)
- Hot gemstone therapy
- Hormesis hot stone therapy
- Reduced ion therapy (20 minutes)
7:00 Dinner Grain food, sea food, traditional meal using linseed oil
- Reduced ion therapy (15~40 minutes)
- Carbonated water therapy (30 minutes)
- Boil cupping therapy (60 minutes)
- Traditional Thailand lymph massage
Free time (entertainment, movies, chatting, etc)
⊕ Supplements like fucoidan, black yeast, hydrogen capsules, enzyme drinks, and fermented beans may be taken during each meal based on the patient's status.
There are many physical therapy methods the cure various incurable diseses.
The garden improves the therapeutic effects of our treatments.
Chapter 6
Surprising Effects of Fasting
Nakamachi Garden Clinic
Even though many people think of fasting as a painful process, our fasting treatment aids people to fight off chronic diseases by normalizing the body functions.
Our fasting treatment was made based on Dr. Yamada from the Kyorin Preventive Medicine Research Center.
Since we allow our patients to consume a sufficient amount of vitamins and minerals along with an enzyme-free juice made from fermented vegetables, it is very different from the "fasting" that people are used to.
There are 10 characteristics to fasting.
- It stimulates body metabolism and removes subcutaneous fat to create an ideal fat composition in our body.
- It removes accumulated chemicals and toxic substances in the fat cells.
- It removes toxic fecal materials and cleans the intestine.
- It recovers damaged and weakened cells.
- It provides rest to the gastrointestinal system in order to improve intestinal functions.
- It removes excessive cholesterol within the blood to clean the blood.
- It removes waste materials covering the tongue to improve taste.
Try out our easy three-day fasting treatment
If a beginner starts the fasting process, we recommend him/her to try it out for three days.
- Drink 200-400cc of good quality water on the first morning
— Good quality water stimulates the metabolism - Home-made juice (carrot, spinach, cabbage, banana, tofu, lemon extract) three times a day as a meal
Then, good quality water is enough for the rest of the process. 1.5 liters of water per day is enough. Refrain from drinking artificially flavored drinks and caffeine. Smoking and drinking is strictly prohibited. Eat a piece of watermelon and melon each day if solid food is needed. Refrain from severe exercise.
— 3 juices/ day, 550kcal. For five days - Maintenance period: Eat porridge as the first meal and refrain from meat and fatty food for three days. Drink good quality water.
— Eat as little as solid food as possible. Consume vegetable and fruits rich in vitamin and minerals.
This alone will make your body clean and fresh. When people are asked to perform fasting, they all think it will be a very difficult process. Surprisingly, people will not feel hungry but feel better after the first day.
There are a lot of customers who visit Dr. Yamada. Singer Migawa Kenichi lost 5kg of weight in three days of the fasting treatment. Other than improving the immune system, the skin tone was improved, as were the constipation symptoms.
Even though three-day fasting is very effective, it is best to perform it once every three months or six months. In addition, it is good to drink juice during the morning and eat normal meals for the rest of the day. Since partial fasting may also be effective, this can be applied in everyday lives.
The fasting treatment is based on a three-day schedule.
However, since a preparation and maintenance period is needed before and after the treatment, a total of 9 days are needed to complete the entire cycle. Even though many people fail to perform the maintenance period, it is extremely important to go through the maintenance period in order for the treatment to be completely effective.
Seven amazing effects of fasting!
- Improved toxic excretion function! Mercury, lead, dioxins, and other toxic materials are excreted from the body's system.
- Improved natural immunity! Enzymes are converted into digestive enzymes to repair the damaged cells..
- Improved intestinal functions! By allowing the gastrointestinal system to rest for a while, it improves the intestinal function.
- Diet. An active metabolism aided by vitamins and minerals from juice will promote fat combustion.
- Whitening effect. The skin metabolism is improved to improve the skin quality.
- Purified blood Excessive. Cholesterol is removed from the blood to purify the blood.
- Sensitive taste buds. The fasting process allows people to improve their sense of taste.
From The Book Read by People Who Do Not Want to Get Sick
Healthy cells are switched on to live in
harsh environments
The research center at the University of Southern California performed research into the effects of fasting.
They injected mice with a high dosage anti-cancer treatment and made them go through 48 hours and 60 hours of fasting respectively to compare the results.
The results showed that the mouse that did not go through fasting suffered from motor disabilities to other various anticancer drug side effects. On the other hand, the mouse that went through the fasting process for 48 hours did not suffer from these side effects.
In comparison to the mouse that went through 60 hours of fasting, the mouse that did not go through the fasting process died on the fifth day, whereas the mouse that went through the fasting process lived beyond the fifth day of anti-cancer drug administration. In addition, the weight loss that occurred during the fasting process was regained after the therapy and showed no side effects.
The result showed that normal cells go into a "shield mode" that protects the cells from severe starvation and stress.
Therefore, the fasting process only kills cancer cells and not normal cells.
Nine hospitals acknowledged the effects of the
fasting treatment
The Kyushu University Allergy Research Center uses 10 days of complete fasting and a 5-days maintenance period as their fasting therapy. They have commented on the therapy asthe following was noted:
"At our allergy research center, we have utilized fasting therapy along with other treatment modalities to treat asthma. We have deduced that the therapy improves the patient's condition. The fasting therapy puts the body in a severe state of stress by not providing any nutrition."
Our body is always looking for a balanced state where homeostasis is maintained. Therefore, our body will shift its gear when it goes into a fasting state in order for the body to survive. One of the changes that the body makes has to do with the increased secretion of steroid hormones. It is known to be very effective for asthma and atopic dermatitis.
Not only that but fasting therapy brings about a lot of changes in the body. It strengthens the body and uses the body's ability to maintain homeostasis as a therapeutic effect.
It is the basis of natural immunity.
As you can see, fasting showed promising results in treating asthma and atopic dermatitis.
The brain's central nervous system improves during fasting
The following mechanisms occur during the fasting process in terms of metabolism:
- The blood glucose level drops because it is used as an energy source.
- Glycogen stored in the liver and muscle cells is broken down as a glucose.
- Fatty acids in the body are converted to ketones for energy.
It has been reported that the increase in ketones is related to the increase in alpha brain waves. It also has been reported that blood ketone levels and alpha brain waves have a direct relationship during the fasting treatment process.
This was published by Dr. Takuchi from Tohoku University in his report on the effects of fasting treatments in 1984.
In addition, Dr. Yazushi from Sapporo Meiwa Hospital performed a test that measures the excitement of the brain's limbic system. His research showed that the fasting treatment inhibits the excitement of the brain's limbic system.
Therefore, the fasting process clears out the brain and lets the waves become dominant.
The effects of fasting can be summarized as the following:
1. Trans-fatty acid on the cells may be removed by the fasting treatment
Food products like margarine, shortening and cooking oil contain a high concentration of trans-fatty acid, one of the major players in cardiovascular diseases.
Even though a small amount is included in natural substances, it is less than 1% of the entire calorie recommendation by the World Health Organization(WHO).
It would not become a problem if we all had a balanced diet all the time. However, as people eat out more and more, there is a bigger chance of consuming more and more trans-fatty acids.
When people consume trans-fatty acids, they start to accumulate these to the and surround the cells.
Cells need accumulated minerals and enzymes to function as links between the cells for various physiological activities.
However, when cells are completely surrounded by trans-fatty acids, enzymes cannot link with minerals and It has been reported that the increase in ketones will compromise the cells' physiological activities.
In addition, since toxic metals bind with trans-fatty acids, they are not excreted from the body easily. When these patients go through the fasting process, their metabolism will be activated to excrete these oils from the body system. By excreting excessive and toxic oils from the body, the body's physiological functions will be restored.
2. It strengthens immunity
Allowing the organs to rest during the fasting period will improve the immune system. The gastrointestinal system works actively to metabolize the proteins, carbohydrates and fats that we consume each day. Since fatty meals give a serious burden to these organs, the fasting treatment will allow these organs to rest. Then, the organs can regenerate their normal tissue and become more active. When less an energy is spent on digestion during the fasting process, white blood cells will be activated to inhibit the growth of the tumor. These changes will occur during the fasting process. People who over-eat and drink will experience a lot of changes. A lot of energy is required to digest food. However, if there is no food to digest, this energy will be utilized in other functions, especially by the metabolism and immune system. When the metabolism functions are improved, defective cells will be replaced with fresh new cells. When the immune system is improved, it will defend the body from intruders and attack the cancer cells. It will become extremely beneficial in the treatment of chronic diseases.
Fasting is used as a standard treatment in some US hospitals due to its significant effects.
3. Normalize detoxification functions
The major organ that excretes alcohol, drugs, food additives and heavy metals is the liver. Fatty meals and processed food products put on a lot of burden on the liver. When the liver is in a severe burden state, its detoxification functions are weakened and toxic substances will start to accumulate within the body.
If we perform fasting during this process, the burden on the liver will be relieved in order for it to recover its normal detoxification functions.
There are a lot of chemicals, heavy metals and drugs accumulated in our body that interfere with our normal metabolism. The neurological system and endocrinological system are easily interfered with to cause seizures, allergies, diabetes and autonomic nervous system dysfunctions.
These toxic substances tend to be accumulated within the fat cells. The trans-fatty acids that surround the cells become one of the major focuses where toxic materials accumulate.
When fat cells are digested due to the fasting process, the excretion of toxic substances will be promoted.
4. Improvement in the symptoms caused by bad eating habits
Most of the chronic diseases are caused by bad eating habits. Excessive intakes of fatty meals are only one of the common factors that all chronic disease patients share.
This results in various symptoms. The blood becomes viscous and very vulnerable to coagulation. In addition, weight increases because of constipation and ineffective digestive functions.
Other everyday life functions are also compromised by bad eating habits. Even though it is difficult to call them diseases, people are often in a poor condition because of their bad eating habits.
There are endless cases where fasting therapy was beneficial to many of our patients. Let me introduce to you just few cases where the effects were significant.
Effects of fasting proven by the Health Institute
Purifies blood
Fatty meals and a lack of minerals cause a sharp increase in blood cholesterol levels in many people.
As a result, many people suffer from brain damage and cardiovascular diseases. Fasting therapy gets rid of excessive cholesterol and eases the blood flow.
Removes remnant fecal matter in the intestines
A lot of waste materials can be accumulated within the colon. Fatty meals, a lack of vegetables and excessive stress cause the intestine to accumulate harmful waste in our bodies. Such an accumulation increases the risk of colon cancer and irritable bowel diseases. During our fasting therapy where the right amount of fluid is being provided, constipation is improved and the colon is cleaned naturally. consuming vegetable-rich meals each day even after the fasting therapy, people can maintain their intestinal health at the maximum level.
Maintains weight
Fasting is not a simple diet process. It is a treatment course that reduces the weight in a healthy way by removing toxic substances from the body.
It is not difficult to maintain weight while not compromising the metabolic process by taking a closer look into the quantity and quality of the meals. Since fat and toxic materials are harmful to the body, we must find a way to lose weight in a healthy way. If we remove all of the excessive fat from the body by the fasting therapy, the metabolism level will be increased to maintain our body at a healthy weight.
Resets the sense organs
People will start to have a keen sense of taste after the fasting therapy. They will also realize that all of their five senses become better after the treatment. Most of the patients who have been through the fasting therapy said that their sight was significantly improved. We believe that such effects are achieved by resetting the sensory organs in our body.
It normalizes the respiratory function
Our lungs are living in a severe environment where air pollution extremely bad. By going through the fasting process, our lung functions will be normalized to provide fresh oxygen throughout our bodies to improve the basic body physiological functions.
Explanation - Status of the three standard treatment options
This chapter will talk about the status of the three standard treatment options. Some of the books that talk about traditional treatment methods say that the three standard treatments will result in absolute failure.
However, some patients are risking their lives because they are not being treated with modern medicine. It is extremely important to provide the best integrated medicine that combines both modern and traditional treatment options.
'Surgery' - taking all possible measures is very important
Surgical techniques have been improved significantly over the years. In the case of breast cancer, the removal of the entire breast was the basic surgery technique previously, it involved the extended removal of the pectoralis muscle and all of the neighboring lymph nodes. However, the current method evaluates the metastasis into the lymph nodes before removing them.
If the cancer has not metastasized into the lymph nodes, a local excision is made on the breast to combine it with radiation. Its treatment results are the same as a total mastectomy.
However, when a patient refuses to go through surgery at an early stage, the cancer may metastasize into the entire body before they visit the hospital again. Some breast cancer patients suffer from skin metastasis because of a delay in surgery.
Even though it would be impossible to remove all of the cancer cells by surgery, it is effective in reducing the size of the tumor. Radiation and chemotherapy is most effective when there are less cancer cells to fight against. Therefore, it is very important to take all possible measures during the treatment of cancer.
Some women refrain from going through surgery due to fear of cutting the breast away. However, since the field of plastic surgery has improved significantly, many breast cancer patients are having breast reconstructions with fantastic results. In addition, much research is being done in various fields to relive pain in cancer patients.
However, the most important part has to do with the fact that surgery is not the end of treatment for cancer. It is after the surgery that the real fight begins. I have witnessed a lot of patients who had recurrent breast cancer after the surgery because they thought their disease was cured.
The surgical removal of cancer cells is limited to the visible range. In other words, surgery does not cure cancer at a cellular level. Therefore, it is important to go through cancer treatment as soon as the surgery is completed.
By examining the breast cancer tissue, we can decide which anti-cancer drugs or hormone therapies are effective. Since treatment modalities change based on the patient's condition, we are able to perform customized treatments for breast cancer patients.
'Chemotherapy' - Even the new drugs only have a 30% efficacy
Doctors perform chemotherapy before and after the surgery.
With the exception of early-stage cancers, it is safe to say that there are still a lot of cancer cells left at a cellular level after the surgery. There is a possibility of metastasis into other organs through the blood vessels.
However, anti-cancer drugs cannot kill all of the cancer cells. Even though the effects are maximized when there are less cancer cells within the body, the effects are only temporary and the cancer cells start to build resistance against the anti-cancer treatments after a while. When cancer cells genetically mutate into a resistant strain, we can use another anti-cancer drug to kill those cancer cells.
However, the effects will be diminished after several cycles of treatment. Even though many new drugs are being launched onto the market, their efficacy is only around 30%.
In other words, the other 70% are not benefiting from these chemotherapies.
If we increase the dosage of a single anti-cancer drug, its side effects will become stronger as well. Current anti-cancer treatment focuses on the patient's quality of life. There is much research being done on using various anti-cancer treatments in order to reduce side effects.
However, as mentioned before, there are limits to the effects of anti-cancer treatments. If we keep on using them without any hope of therapeutic effects, it will only compromise the patient's quality of life.
Do not keep on using ineffective chemotherapies
It is extremely important to have the courage to terminate ineffective cancer treatments. There are some centers that use small doses of anti-cancer drugs to inhibit cancer growth.
By combining them with immune reinforcement therapies, half or 10% of the normal dosages may be used to minimize the side effects while achieving the same therapeutic effects.
We also administer half or 20% of the normal anti-cancer drugs and combine them with various immune reinforcement therapies like thermotherapy. We experienced a patient who had been given a month to live but who lived healthily for another 6 months.
Normally, most hospitals do not listen to patients who wish to use smaller doses of anti-cancer drugs. Doctors say that small doses are ineffective.
However, from our experience, smaller doses have fewer side effects while having a therapeutic effect in lengthening the lifespan.
There is a treatment approach called "cancer dormant therapy" which does not aim to kill all of the cancer cells.
Rather, it aims to create a symbiosis between the cancer cells and the host. This treatment approach may be effective for people who are afraid of the side effects of anti-cancer drugs.
The therapeutic effects of small dose anti-cancer drugs are yet to be found. However, from our point of view, smaller doses of anti-cancer drugs activate the immune system that is suppressed by higher doses of anti-cancer drugs. We believe that the synergistic effect between low-dose chemotherapy and improved immune functions is the cause of great treatment results with low-dose chemotherapy.
In other words, it is important to use low-dose chemotherapy along with immune reinforcement treatments.
Currently, there is a new trend in the cancer treatment field called "molecular target cell therapy". It is becoming a major trend in the treatment of cancer in the modern era.
We must always check on monoclonal antibody drugs and angiogenesis inhibitors
Angiogenesis inhibitors are another new trend in the treatment of cancer. Even though these two drugs may be categorized into the same category, there are some differences.
Targeted cell therapy is like a customized drug that is used on certain genetic traits of the patients.
It attacks cancer genes and proteins made from specific cancer genes to target only the cancer cells and not the normal cells.
Angiogenesis inhibitors inhibit the synthesis of new blood vessels in large tumor masses. In order for cancer cells to grow, they need to be supplied with a sufficient amount of oxygen. The tumor creates new blood vessels around its tissues to provide nutrition.
Some anti-cancer drugs have synergistic effects with angiogenesis inhibitors. However, even these drugs do not disable the blood vessels already that already exist within the tumor mass. In other words, "angiogenesis inhibitors" may suppress the further growth of cancer cells. Therefore, its effects will be maximized when it is combined with other anti-cancer drugs.
Angiogenesis inhibitors and target cell therapies do not share the same function. However, some angiogenesis inhibitors are made as the monoclonal antibodies.
The Vascular endothelial growth factor (VEGF), is a major factor that signals the growth of new vessels.
Many drugs targeting this factor are being launched onto the market. There is a drug called Avastin that specifically inhibits the growth of new blood vessels. However, since its effects are limited to those with certain genes, it is extremely important to run a genetic test before starting the treatment.
There are a lot of new anti-cancer drugs on the current market. Although some people may feel like they might die of the cancer treatments, some cancer treatments are extremely effective. Therefore, it is extremely important to learn more about anti-cancer drugs so that you do not blow your chance of a cure because you refuse to take any anti-cancer drugs.
However, other than leukemia, there are no cancers that can be completely cured only by chemotherapy. It is extremely important for doctors to realize this fact. The differences between doctors who know the limits of chemotherapy and those who do not are very significant.
"Radiation" the cyber knife that minimizes side effects
The radiation used in radiation treatments uses the same rays used in x-ray radiology. In addition, bayron radiation is also being implemented in treatment plans. When cells are exposed to radiation, DNA is destroyed and further replication is inhibited. Even though normal cells are affected during the process, various technological improvements are being made to minimize the side effects.
Radiation treatments are improving rapidly as the devices improve based on technological advancements. Now, radiation therapy is localized on certain parts of the tissue, it is possible to minimize the side effects on the normal cells.
The gamma knife and cyber knife combines computer and CT images to attack the tumor mass from 30~1200 directions. It prevents unnecessary damage to the normal cells while localizing the therapeutic effects on the cancer cells. With the exception of the brain, cyber knife treatments for the lungs, liver, and prostate cancer are being covered by health insurance. By combining radiation and chemotherapy, we can achieve the same results as surgery. This will open a new door for patients with inoperable cancer.
Postscript
Postscript
We should stop increasing the number of "cancer refugees"
Even though the limits of the three standard treatments were pointed out a long time ago, there are no evaluation tools with which to evaluate the effects of other alternative treatment options. I strongly believe that this is why there is an increasing number of "cancer refugees" in our society.
We have a lot of patients who refuse to go through surgery or any type of Western medicine intervention. By the time it is too late for any interventions, they come to us for desperate help.
In addition, there are a lot of patients who have a low quality of life due to repeated chemotherapy.
In any case, we always think that it would have been much better if they were to visit our clinic sooner. "Cancer" cannot be conquered by a head-on approach. We need to fight like a guerilla and use various tactics instead of relying on a single approach. By combining some of the effective treatment options, we can take the fight into overtime and lengthen the lifespan.
Cancer patients are normally stubborn and choose to go with easy treatment methods even though we put a lot of efforts in explaining other various options. Unless patients are determined to fight off their cancer, it is almost impossible to win in the fight against cancer.
Hot gemstone therapy can be performed at home
We have discussed thermotherapy as the fourth medicine that reinforces the immune system.
We have also introduced our hot gemstone therapy used at our clinic as a thermotherapy. Our hot gemstone therapy can be performed at home as well. Not only does it heat up local tumor masses, it is also able to heat up the entire body to increase the normal body temperature. Even though hot gemstone therapy is known to be beneficial in the treatment of rheumatism, neurotic pain, and depression, we have only discussed its effects on cancer in this book.
The effects of thermotherapy are based on the fact that cancer cells are vulnerable to heat. In addition, applied heat repairs mitochondrial functions to produce cyclic AMP that induces cancer cell apoptosis.
Even though other therapeutic effects have been proven by research, we have only talked about the results proven by clinical trials in this book.
Even though there were some cases where tumor masses shrank following thermotherapy alone, its effects are maximized when combined with other treatment options.
We also know that when we combine thermotherapy with radiation and chemotherapy, it shows synergistic effects and allows us to reduce the chemotherapy doses. We strongly recommend this approach to many cancer patients having difficulties choosing their treatment plans.
Chemotherapy only has a 15% effective cure rate
New anti-cancer drugs are being launched into the market each year. However, if their effective cure rate is 30%, a lot of doctors think it is extremely effective. Normally, the effective cure rate of many anti-cancer drugs is only around 15%. Therefore, it is important for us to think that the three standard treatment options are only a "temporary measure" in the treatment of cancer.
This is when integrated medicine comes into play!
It is extremely important for patients to strongly believe that they can win the fight with cancer. It is important for them to not give up and to look for various treatment plans.
For example, there was a patient at our clinic who decided to stop thermotherapy based on his own decision after experiencing some improvements based on our integrated treatment plan. However, when he visited our clinic after a couple of years, it was too late for us to do anything for him.
It is important for patients to realize that a single bad move can lead to failure in the treatment of cancer. There are some end-stage cancer patients who are not really aware of the severity of their diseases. That is why there are some patients who lose the chance to even fight with their disease.
It is well-known that a fight with cancer is like a "fight without manners."
We also have introduced Dr. Yamada"s theory on the eating habits that render it difficult for cancer cells to grow. We strongly recommend you to review his theory on eating style modifications as one of your treatment options.
We can live along with cancer
Sadly, there is no "perfect cure" for cancer in modern medicine. However, there is a way to live along with cancer.
If a person with a month left to live is able to live for an additional three to six months, that person would have lived a symbiosis life with the cancer cells in order to lengthen their lifespan.
There is a patient at our clinic who was diagnosed with lung cancer 10 years ago. His CT images show a tumor in both lung fields, but he is still living an independent life at this time.
Even though he is still concerned about his tumor markers, it is quite amazing that he has maintained his quality of life until this day. We always tell him not to pay attention to the images and lab results. He has successfully completed the goals of our treatment plan.
The following concepts should be always in your mind during the fight with cancer.
Cancer is a long-term disease. In order to prevent cancer and live a symbiosis life with cancer, it is important to improve your lifestyle.
Continue the treatment process because cancer cells replicate without any limitations.
Cancer is caused by immunodeficiency. This is extremely important in preventing cancer as well.
Heating the body and limiting the use of anti-cancer drugs is very important. Patients need a treatment approach that focuses on immunity reinforcements.
Fight cancer by reinforcing the immune system and not by relying solely on the three standard treatment options
Normally, lung cancer, gastric cancer, and breast cancer are considered to be local lesions in Western medicine. However, since cancer is a disease of the entire body, the treatment plan should be focused on improving the entire body"s immune system instead of simply treating the local lesions.
There is a need for doctors to change their concepts in the treatment of cancer.
Even though the Ministry says that it is focusing on improving the treatment of cancer, many new drug certifications are being delayed.
It is important to introduce integrated medicine in the treatment of cancer instead of relying solely on the three
standard treatment methods. In order for integrated medicine to be prevalent in the field of medicine, its effects have to be proven by large clinical trials.
I have referenced a lot of researchers and publications in the course of writing this book and I would like to take this opportunity to show my gratitude to all of those people.
I hope that the phrase "cancer refugees" will no longer be used in the future. Yoshimisu Nobuhiro
References
References
- Yoshimisu Nobuhiro
- National Cancer Center Information Center 2005
- The Book Read by People Who Do Not Want to get Sick by Yamada Toyohuma (Ascom)
- "True cancer treatment" by Churumi Tkashi (Jungang Art Publication)
- "Immune revolution" by Abo Toru (Kodansa)
- "Overcoming cancer - The TAF treatment method" by Abe Hiroyuku (Toyo Medicine)
- "The serotonin-lacking brain" by Arada Hideo (Lifebook)
- "Toxins interfere with brain functions" by Takeuchi Gumeji (Nitto Books)
- "Detoxification" by Inaji Norihisa and Ikegawa Akira (Nitto Books)
- "Chemicals are the cause of all diseases!!" by Uebu Gasuma (Health Newspaper)
- "Let's make miracles with a lengthened lifespan!" by Uebu Gasuma (Goma Books)
- "Bad eating habits cause diseases" by Osawa Hiroshi (Sangokan)
- "Autonomic nervous system control" (Takahasi Books)
- "Environmental drag" by Funase Shunseke (Chiguchi Books)
- "Over-eating diseases and the intellectual health revolution" (Miraisu Books)
- "Science in thermotherapy" by Frank T. Kobayashi (Toyo Medicine)
- "Lymphocytes fighting against cancer" "Natural immune therapy"
- "The dictionary that cures cancer" by Obisu Ryoichi
- (Nikken Books) "Introduction to natural immune therapy" by Ganno Teruo (Toyo Books)
Author Profile
Medical Doctor / Nobuhiro Yoshimizu
* 1968 - Graduated from Toho University, joined Tokyo University Neurosurgery Department
* 1973 - Studied in the Mayo Clinic
* 1974 - Neurosurgery professor at Jiji University School of Medicine
* 1981 - Vice-chief of the Neurosurgery Department at Taisan Tashinaga Hospita
* 1992 - Head of Neurosurgery Center at Yokohama Integrated Hospital
Advisor at the Yokohama Integrated Hospital in 2006, and vice-chief at the Yokohama Cyberknife Center, which has the world"s most cyberknife cases. Head of the Nakamachi Garden Clinic.
Established a medical plan that combines thermotherapy with physical and immune reinforcement therapy. Specialty in Neurosurgery and Emergency Medicine. A member of the Japan Oncology Association.